[Ortho] Перелом костей предплечья

"Михаил" orthoforum на weborto.net
Вт Июн 19 11:10:26 YEKST 2012


Доброго времени суток, уважаемые коллеги! С прошедшим праздником всех.

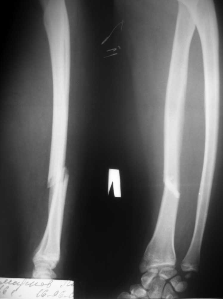
Пострадавший, 16 лет, поступил в отделение 16.06.12. Травма в результате ДТП- воткнулся на
скутере в неподвижный автомобиль. Других повреждений нет. За прошедшие выходные какими-то
окольными путями умудрился получить консультацию сотрудника института травматологии и
ортопедии, находящегося в областном центре. Сотрудник этот (д.м.н., профессор, весьма
уважаемый в травматологическом, да и вообще во врачебном, сообществе нашего региона
человек) рекомендовал консервативное лечение. Сам пострадавший, точнее, его родители,
хотят отличного результата, отсутствие последствий, независимо от метода лечения, но
находятся под влиянием слов профессора. Считаю, что такое повреждение просто необходимо
оперировать, но чтобы переубедить пострадавшего, необходимо авторитетное мнение
уважаемого сообщества. PS. Если операция, то может быть есть какие-то особенности. Заранее
благодарен всем, высказавшим свое мнение. Любое!
Михаил
----------- следущая часть -----------
Вложение в формате HTML было извлечено…
URL: http://weborto.net:8080/pipermail/ortho/attachments/20120619/50b68c05/attachment-0001.htm 
----------- следущая часть -----------
Вложение не в текстовом формате было извлечено…
Имя     : 001.jpg
Тип     : image/jpg
Размер  : 39488 байтов
Описание: отсутствует
Url     : http://weborto.net:8080/pipermail/ortho/attachments/20120619/50b68c05/attachment-0001.jpg 


Подробная информация о списке рассылки Ortho