[Ortho] Ганглии на ахилловых сухожилиях

"Юрий Алексеевич Булахтин" orthoforum на weborto.net
Вт Июн 19 19:29:50 YEKST 2012


  Уважаемые коллеги! 

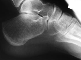
Спасибо всем, кто принимает участие в обсуждении случая. Досылаю рентгенограммы и МРТ. Хотелось-бы уточнить объем резекции пяточных костей.

      Юрий Алексеевич Булахтин
Камчатский Военно-морской госпиталь
----------- следущая часть -----------
Вложение в формате HTML было извлечено…
URL: http://weborto.net:8080/pipermail/ortho/attachments/20120619/3904cc51/attachment-0001.html 
----------- следущая часть -----------
Вложение не в текстовом формате было извлечено…
Имя     : R-ЗЕО - РСФПЮОБС ЛПУФШ МЕЧБС.jpg
Тип     : image/jpg
Размер  : 25939 байтов
Описание: отсутствует
Url     : http://weborto.net:8080/pipermail/ortho/attachments/20120619/3904cc51/attachment-0003.jpg 
----------- следущая часть -----------
Вложение не в текстовом формате было извлечено…
Имя     : R-ЗЕО - РСФПЮОБС ЛПУФШ РТБЧБС.jpg
Тип     : image/jpg
Размер  : 24894 байтов
Описание: отсутствует
Url     : http://weborto.net:8080/pipermail/ortho/attachments/20120619/3904cc51/attachment-0004.jpg 
----------- следущая часть -----------
Вложение не в текстовом формате было извлечено…
Имя     : мрт.jpg
Тип     : image/jpg
Размер  : 36884 байтов
Описание: отсутствует
Url     : http://weborto.net:8080/pipermail/ortho/attachments/20120619/3904cc51/attachment-0005.jpg 


Подробная информация о списке рассылки Ortho