[Ortho] : Перелом костей предплечья

Игорь Кучерявый harrykuch на gmail.com
Ср Июн 20 15:33:16 YEKST 2012


А можно увидеть свежие контрольные снимки в гипсе?
19.06.2012 9:16 пользователь Михаил <orthoforum на weborto.net> написал:

> Доброго времени суток, уважаемые коллеги! С прошедшим праздником всех.
>
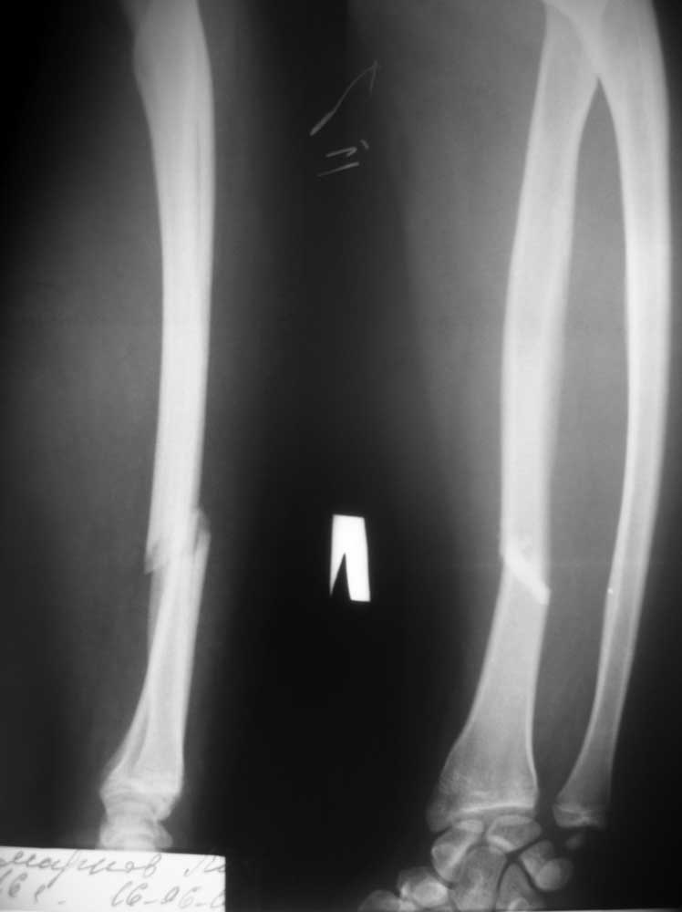
> Пострадавший, 16 лет, поступил в отделение 16.06.12. Травма в результате
> ДТП- воткнулся на
> скутере в неподвижный автомобиль. Других повреждений нет. За прошедшие
> выходные какими-то
> окольными путями умудрился получить консультацию сотрудника института
> травматологии и
> ортопедии, находящегося в областном центре. Сотрудник этот (д.м.н.,
> профессор, весьма
> уважаемый в травматологическом, да и вообще во врачебном, сообществе
> нашего региона
> человек) рекомендовал консервативное лечение. Сам пострадавший, точнее,
> его родители,
> хотят отличного результата, отсутствие последствий, независимо от метода
> лечения, но
> находятся под влиянием слов профессора. Считаю, что такое повреждение
> просто необходимо
> оперировать, но чтобы переубедить пострадавшего, необходимо авторитетное
> мнение
> уважаемого сообщества. PS. Если операция, то может быть есть какие-то
> особенности. Заранее
> благодарен всем, высказавшим свое мнение. Любое!
> Михаил
>
> _______________________________________________
> Ortho mailing list
> Ortho на weborto.net
> http://weborto.net:8080/mailman/listinfo/ortho
>
>
----------- следущая часть -----------
Вложение в формате HTML было извлечено&hellip;
URL: http://weborto.net:8080/pipermail/ortho/attachments/20120620/04028aec/attachment-0001.htm 
----------- следущая часть -----------
Вложение не в текстовом формате было извлечено&hellip;
Имя     : отсутствует
Тип     : image/jpg
Размер  : 39488 байтов
Описание: отсутствует
Url     : http://weborto.net:8080/pipermail/ortho/attachments/20120620/04028aec/attachment-0001.jpg 


Подробная информация о списке рассылки Ortho