[Ortho] : Перелом костей предплечья

Michael Berenstein dr_mbern на bezeqint.net
Сб Июн 23 16:10:05 YEKST 2012


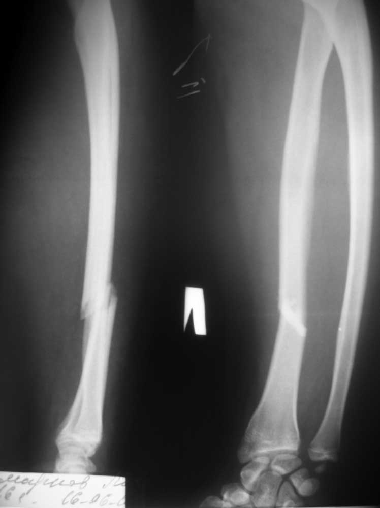
Классический перелом Голлеаци с повреждением дистального лучелоктевого
сочленения. Невозможно вправить вывих без восстановления длины луча. 

Абсолютное показание к открытой репозиции луча со стабильной фиксацией
(пластинка).

В большинстве случаев головка локтя вправляется сама и не требуется
дополнительного вмешательства. Если в будущем возникают проблемы в
лучезапястном суставе необходимо выполнить МРТ для выявления вида
повреждения и решить о виде операции по восстановлению.

 

Михаил Беренштейн

 

From: ortho-bounces на weborto.net [mailto:ortho-bounces на weborto.net] On Behalf
Of ????? ?????????
Sent: Wednesday, June 20, 2012 12:33 PM
To: Orthoforum
Subject: Re: [Ortho] : Перелом костей предплечья

 

А можно увидеть свежие контрольные снимки в гипсе?

19.06.2012 9:16 пользователь Михаил <orthoforum на weborto.net> написал:

Доброго времени суток, уважаемые коллеги! С прошедшим праздником всех.

Пострадавший, 16 лет, поступил в отделение 16.06.12. Травма в результате
ДТП- воткнулся на
скутере в неподвижный автомобиль. Других повреждений нет. За прошедшие
выходные какими-то
окольными путями умудрился получить консультацию сотрудника института
травматологии и
ортопедии, находящегося в областном центре. Сотрудник этот (д.м.н.,
профессор, весьма
уважаемый в травматологическом, да и вообще во врачебном, сообществе нашего
региона
человек) рекомендовал консервативное лечение. Сам пострадавший, точнее, его
родители,
хотят отличного результата, отсутствие последствий, независимо от метода
лечения, но
находятся под влиянием слов профессора. Считаю, что такое повреждение просто
необходимо
оперировать, но чтобы переубедить пострадавшего, необходимо авторитетное
мнение
уважаемого сообщества. PS. Если операция, то может быть есть какие-то
особенности. Заранее
благодарен всем, высказавшим свое мнение. Любое!
Михаил



_______________________________________________
Ortho mailing list
Ortho на weborto.net
http://weborto.net:8080/mailman/listinfo/ortho

----------- следущая часть -----------
Вложение в формате HTML было извлечено&hellip;
URL: http://weborto.net:8080/pipermail/ortho/attachments/20120623/d15e5044/attachment-0001.htm 
----------- следущая часть -----------
Вложение не в текстовом формате было извлечено&hellip;
Имя     : отсутствует
Тип     : image/jpeg
Размер  : 39488 байтов
Описание: отсутствует
Url     : http://weborto.net:8080/pipermail/ortho/attachments/20120623/d15e5044/attachment-0001.jpeg 


Подробная информация о списке рассылки Ortho