[Ortho] Ложный сустав н/з б/берцовой кости

"Абдурашид" orthoforum на weborto.net
Вс Июн 24 18:45:29 YEKST 2012


Уважаемые коллеги.Очень прощу помочь в одном сложном деле.	
						
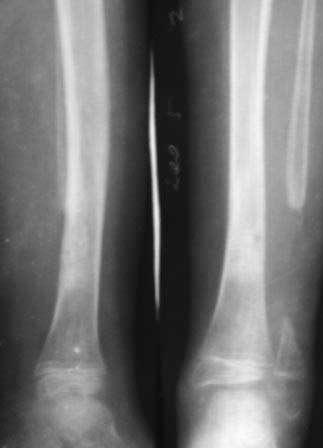
Девочка 2005г.р. В середине 2008 г падает с велосипеда с дедом, возможно был перелом н/з костей левой голени, лечение у знахаря-табиба, но ребенок не смог бегать, часто падал, начал хромать. Май 2009г. обратились к нам, установлен д-з « вялоконсолидирующаяся перелом н/з б/берцовой кости, несросшийся перелом м/берцовой кости со смещением по ширине». Мы решили гипсовая повязка и ходьба с нагрузкой, но по категорическому требованию родителей исправить деформацию м/берцовой кости, произвели операцию ( на свою голову )»о/ репозиция и и/м фиксация спицами м/берцовой кости». Теперь началась самая интересная история! Ч-з недели две в обл. п/о раны м/берцовой открылась свищ с кровянистым выделением, гноя не было, на р-грамме лизис концов отломков м/берцовой кости, к-рый начал прогрессировать, консультирована онкологами, цитология, с подозрением направлена в центральные институты, сделана КТ, онкологическое исключили, в августе попали в остеомиелитический центр, где произведена резекция м/б на протяжение 6-7см, все зажило и выписали (снимок-1). 2010г в мае повторно получила травму, наложена гипсовая повязка (снимок-2) и через 1-2 месяца в одном из центральном институте произведена КДО аппаратом Илизарова , который снят ч-з три месяца (снимок-3) и долго ходила на костылях-мать заставила, как начала наступать, появилась деформация, заказали ортез и так ходила, но деформация прогрессировала, Обратилась к нам в апреле 2012г,(снимок-4) произведена постепенная коррекция на аппарате, и замена на БИОС 01.03.12г плечевым гвоздем, ЭОП нет, поэтому осталась несколько антекурвация (снимок-5), ребенок ч-з неделю начала ходить.Повторный осмотр 22.06.12г- деформация усиливается, за три месяца сращение очень слабое.(снимок-6). (Жаль что многие р-снимки не сохранились, мать обещала хотя бы часть найти)!Что теперь делать?
Удалить дистальные винты и пробовать исправить на аппарате, или гвоздь убрать , коррекция на аппарате и после рассверливания повторный БИОС? Уважаемые коллеги, какие варианты предлагаете? 

С уважением Абдурашид.

----------- УМЕДХЭБС ЮБУФШ -----------
Вложение в формате HTML было извлечено…
URL: http://weborto.net:8080/pipermail/ortho/attachments/20120624/c748c93e/attachment-0001.htm 
----------- УМЕДХЭБС ЮБУФШ -----------
Вложение не в текстовом формате было извлечено…
Имя     : 1.jpg
Тип     : image/jpg
Размер  : 24887 байтов
Описание: отсутствует
Url     : http://weborto.net:8080/pipermail/ortho/attachments/20120624/c748c93e/attachment-0007.jpg 
----------- УМЕДХЭБС ЮБУФШ -----------
Вложение не в текстовом формате было извлечено…
Имя     : 2.jpg
Тип     : image/jpg
Размер  : 29274 байтов
Описание: отсутствует
Url     : http://weborto.net:8080/pipermail/ortho/attachments/20120624/c748c93e/attachment-0008.jpg 
----------- УМЕДХЭБС ЮБУФШ -----------
Вложение не в текстовом формате было извлечено…
Имя     : 3.jpg
Тип     : image/jpg
Размер  : 20539 байтов
Описание: отсутствует
Url     : http://weborto.net:8080/pipermail/ortho/attachments/20120624/c748c93e/attachment-0009.jpg 
----------- УМЕДХЭБС ЮБУФШ -----------
Вложение не в текстовом формате было извлечено…
Имя     : 4.jpg
Тип     : image/jpg
Размер  : 22888 байтов
Описание: отсутствует
Url     : http://weborto.net:8080/pipermail/ortho/attachments/20120624/c748c93e/attachment-0010.jpg 
----------- УМЕДХЭБС ЮБУФШ -----------
Вложение не в текстовом формате было извлечено…
Имя     : 5.jpg
Тип     : image/jpg
Размер  : 23727 байтов
Описание: отсутствует
Url     : http://weborto.net:8080/pipermail/ortho/attachments/20120624/c748c93e/attachment-0011.jpg 
----------- УМЕДХЭБС ЮБУФШ -----------
Вложение не в текстовом формате было извлечено…
Имя     : 6.jpg
Тип     : image/jpg
Размер  : 16094 байтов
Описание: отсутствует
Url     : http://weborto.net:8080/pipermail/ortho/attachments/20120624/c748c93e/attachment-0012.jpg 
----------- УМЕДХЭБС ЮБУФШ -----------
Вложение не в текстовом формате было извлечено…
Имя     : 7.jpg
Тип     : image/jpg
Размер  : 16522 байтов
Описание: отсутствует
Url     : http://weborto.net:8080/pipermail/ortho/attachments/20120624/c748c93e/attachment-0013.jpg 


Подробная информация о списке рассылки Ortho