[Ortho] Несращение бедра - тактика лечения?

"Сычев Дмитрий" orthoforum на weborto.net
Ср Июн 27 23:38:42 YEKST 2012


Помогите определиться с тактикой лечения.

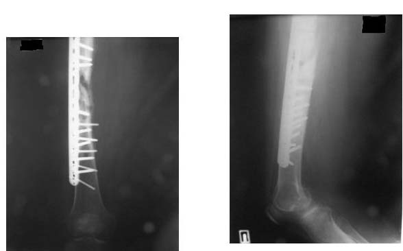
Доброе время суток уважаемые коллеги помогите пожалуйста определиться с тактикой лечения больной. К нам в отделение поступила пациентка с жалобами на боль в области правого бедра, боль возникает при осевой нагрузке на правую н/конечность.   
Из анамнеза:  Женщина 41 год травма в июне 2011 в результате ДТП  диагноз: Сочетанная травма - закрытый оскольчатый перелом средней трети правого бедра со смещением отломков.   Оперирована в одной из клиник РФ, произведён  накостный остеосинтез пластиной. П/о период без осложнений, больная была выписана. В декабре 2011 больная поступает в клинику  где была оперирована с диагнозом: Закрытый перелом правого бедра, состояние после остеосинтеза правого бедра, вторичное смещение отломков. Повторно был выполнен остеосинтез правого бедра с аутотрансплантацией. Больная выписана в удовлетворительном состоянии. 
С момента последней операции прошло 6 месяцев.
Местно: правое   бедро не деформировано, п/о рубец без признаков воспаления с подлежащими тканями не спаян. Осевая нагрузка болезненна. Движения в тазобедренном и коленном суставе незначительно ограничены. 
Что делать дальше? 
Варианты лечения:
- Ничего не делать, ждать.
- Реостеосинтез: 
    Пластина  или  гвоздь
- ????????????????

Заранее Спасибо!!!!

Сычев Дмитрий
ГКБ N 13
----------- следущая часть -----------
Вложение в формате HTML было извлечено…
URL: http://weborto.net:8080/pipermail/ortho/attachments/20120627/30b3aaf3/attachment-0001.htm 
----------- следущая часть -----------
Вложение не в текстовом формате было извлечено…
Имя     : s1.a.jpg
Тип     : image/jpg
Размер  : 22917 байтов
Описание: отсутствует
Url     : http://weborto.net:8080/pipermail/ortho/attachments/20120627/30b3aaf3/attachment-0002.jpg 
----------- следущая часть -----------
Вложение не в текстовом формате было извлечено…
Имя     : s1.b.jpg
Тип     : image/jpg
Размер  : 28158 байтов
Описание: отсутствует
Url     : http://weborto.net:8080/pipermail/ortho/attachments/20120627/30b3aaf3/attachment-0003.jpg 


Подробная информация о списке рассылки Ortho