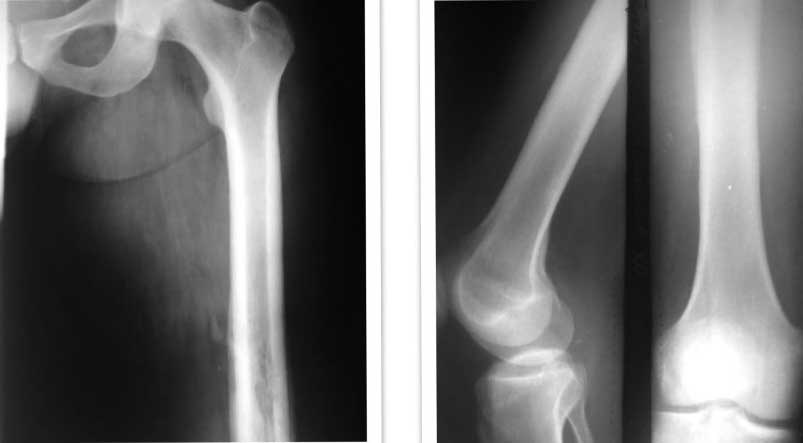
[Ortho] остеомиелит бедра

"Ростислав" orthoforum на weborto.net
Пт Мар 2 15:04:06 YEKT 2012


По просьбе Ю.В. добавляю Рентгенснимки!
Ростислав
----------- следущая часть -----------
Вложение в формате HTML было извлечено…
URL: http://weborto.net:8080/pipermail/ortho/attachments/20120302/98d03a88/attachment-0001.htm 
----------- следущая часть -----------
Вложение не в текстовом формате было извлечено…
Имя     : femur.jpg
Тип     : image/jpg
Размер  : 27540 байтов
Описание: отсутствует
Url     : http://weborto.net:8080/pipermail/ortho/attachments/20120302/98d03a88/attachment-0001.jpg 


Подробная информация о списке рассылки Ortho