[Ortho] Вялоконсолидирующаяся перелом дистального метадиафиза костей левой голени

Alexander Chelnokov alex на weborto.net
Сб Мар 10 13:13:50 YEKT 2012


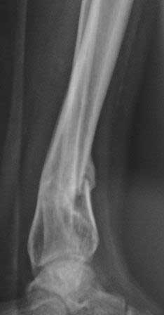
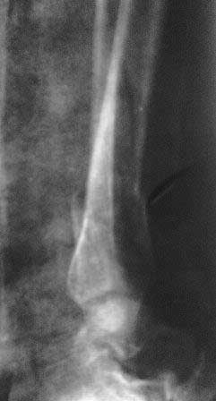
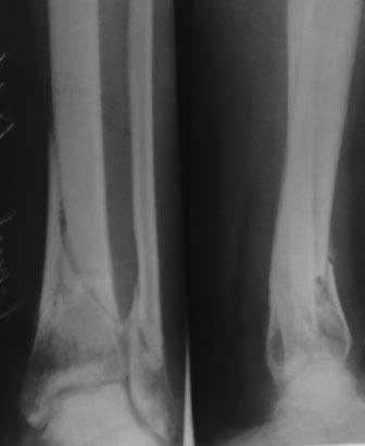
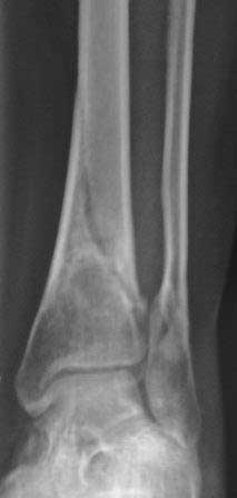
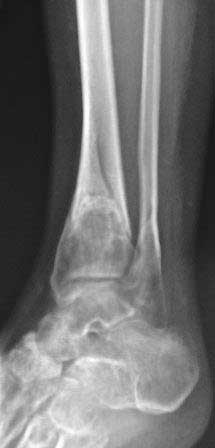
Пациентка 32 года, травму получила в результате ДТП, лечилась в гор.б-це №? Москвы с 19.07.по04.08.11г скелетным вытяжением, после наложена гипсовая повязка,(р-снимок 1,2.) после спадения отека гипс переведена в циркулярную, (видимо на другой вид лечения не хватило средств), гипс снят 19.11.11г(снимок-3)
.Жалобы на боли при ходьбе через несколько шагов, увеличение отека в голени и г/стопном суставе, боли ноющего и неприятного характера, хромота, при осмотре отечность голени в с-н/з и г/с суставе, при пальпации умеренная болезненность в н/з голени, подошвенное сгибание в г/с суставе ограничена и болезненна. Работа связана с ходьбой, просить помочь чтобы не потерять работу. Пока в голове только КДО аппаратом Илизарова, уважаемые коллеги  помогите советом! Доступно БИОС, пластины DCP. и прилагается последние р-снимки.


                       С уважением Абдурашид.
-------------- next part --------------
An HTML attachment was scrubbed...
URL: http://weborto.net:8080/pipermail/ortho/attachments/20120310/b08f1815/attachment-0001.htm 
-------------- next part --------------
A non-text attachment was scrubbed...
Name: ????0864.jpg
Type: image/jpg
Size: 21468 bytes
Desc: not available
Url : http://weborto.net:8080/pipermail/ortho/attachments/20120310/b08f1815/attachment-0006.jpg 
-------------- next part --------------
A non-text attachment was scrubbed...
Name: ????0865.jpg
Type: image/jpg
Size: 21198 bytes
Desc: not available
Url : http://weborto.net:8080/pipermail/ortho/attachments/20120310/b08f1815/attachment-0007.jpg 
-------------- next part --------------
A non-text attachment was scrubbed...
Name: ????0866.jpg
Type: image/jpg
Size: 23036 bytes
Desc: not available
Url : http://weborto.net:8080/pipermail/ortho/attachments/20120310/b08f1815/attachment-0008.jpg 
-------------- next part --------------
A non-text attachment was scrubbed...
Name: ????0868.jpg
Type: image/jpg
Size: 22290 bytes
Desc: not available
Url : http://weborto.net:8080/pipermail/ortho/attachments/20120310/b08f1815/attachment-0009.jpg 
-------------- next part --------------
A non-text attachment was scrubbed...
Name: ????0869.jpg
Type: image/jpg
Size: 25692 bytes
Desc: not available
Url : http://weborto.net:8080/pipermail/ortho/attachments/20120310/b08f1815/attachment-0010.jpg 
-------------- next part --------------
A non-text attachment was scrubbed...
Name: ????0870.jpg
Type: image/jpg
Size: 22855 bytes
Desc: not available
Url : http://weborto.net:8080/pipermail/ortho/attachments/20120310/b08f1815/attachment-0011.jpg 


Подробная информация о списке рассылки Ortho