[Ortho] Вялоконсолидирующися чрезмыщелковый перелом плеча

"Шубин И.В." orthoforum на weborto.net
Вт Мар 13 23:55:41 YEKT 2012


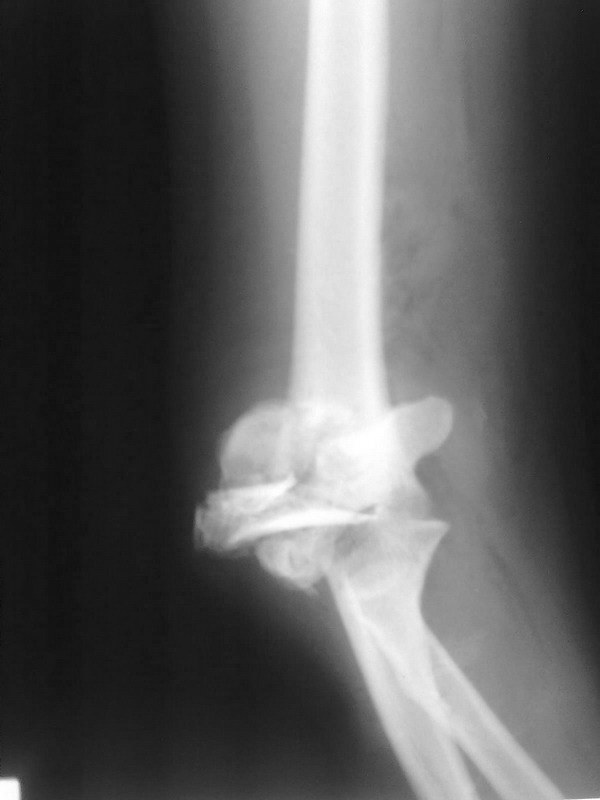
Уважаемые коллеги. Помогите советом определится с тактикой дальнейшего лечения. Пациентка, 16 лет. В 02.2011 - тяжелая сочетанная травма ОДА, груди, живота. В т.ч.открытый многооскольчатый чрезмыщелковй перелом правого плеча и локтевого отростка	
Прооперирована на 2 сутки - остеосинтез реконструктивными пластинами плеча и локтевого отростка по типу Weber. В мае 2011 - явления спицевого остеомиелита на фоне слабой консолидации . Спицы удалены. Свищи закрылись. Больная ушла на реабилитацию в поликлинику. 
На томографе от 09.2011 - вялая консолидация перелома плеча и локтевого отростка. на томографе от 02.2012 - картина схожая - вялоконсолидирующийся перелом правого плеча, вялоконсолидированный перелом локтевого отростка, угловая деформация по типу варусной. Контрактура локтевого сустава - сгибание 100, разгибание 80, супинация 45, пронация 40. 
В наших планах выполнить костную пластику с удалением реконструктивных пластин и с установкой LCP пластин, есть ли смысл в остеотомии для коррекции варуса?. И будет ли смысл в этом. Хотелось бы увеличить амплитуду движений в суставе. Реально ли это на фоне такой картины?. Заранее спасибо
Шубин И.В.
----------- следущая часть -----------
Вложение в формате HTML было извлечено…
URL: http://weborto.net:8080/pipermail/ortho/attachments/20120313/c909356e/attachment-0001.htm 
----------- следущая часть -----------
Вложение не в текстовом формате было извлечено…
Имя     : 02.2011 800.jpg
Тип     : image/jpg
Размер  : 46154 байтов
Описание: отсутствует
Url     : http://weborto.net:8080/pipermail/ortho/attachments/20120313/c909356e/attachment-0006.jpg 
----------- следущая часть -----------
Вложение не в текстовом формате было извлечено…
Имя     : 2011 800.jpg
Тип     : image/jpg
Размер  : 68438 байтов
Описание: отсутствует
Url     : http://weborto.net:8080/pipermail/ortho/attachments/20120313/c909356e/attachment-0007.jpg 
----------- следущая часть -----------
Вложение не в текстовом формате было извлечено…
Имя     : AP 02.12 800.jpg
Тип     : image/jpg
Размер  : 61358 байтов
Описание: отсутствует
Url     : http://weborto.net:8080/pipermail/ortho/attachments/20120313/c909356e/attachment-0008.jpg 
----------- следущая часть -----------
Вложение не в текстовом формате было извлечено…
Имя     : CT 09.2011 800.jpg
Тип     : image/jpg
Размер  : 124723 байтов
Описание: отсутствует
Url     : http://weborto.net:8080/pipermail/ortho/attachments/20120313/c909356e/attachment-0009.jpg 
----------- следущая часть -----------
Вложение не в текстовом формате было извлечено…
Имя     : CT02.2012 800.jpg
Тип     : image/jpg
Размер  : 137472 байтов
Описание: отсутствует
Url     : http://weborto.net:8080/pipermail/ortho/attachments/20120313/c909356e/attachment-0010.jpg 
----------- следущая часть -----------
Вложение не в текстовом формате было извлечено…
Имя     : lat 02.12  800.jpg
Тип     : image/jpg
Размер  : 59705 байтов
Описание: отсутствует
Url     : http://weborto.net:8080/pipermail/ortho/attachments/20120313/c909356e/attachment-0011.jpg 


Подробная информация о списке рассылки Ortho