[Ortho] кистовидная перестройка дистального метафиза бера

"травматолог" orthoforum на weborto.net
Чт Мар 15 19:46:31 YEKT 2012


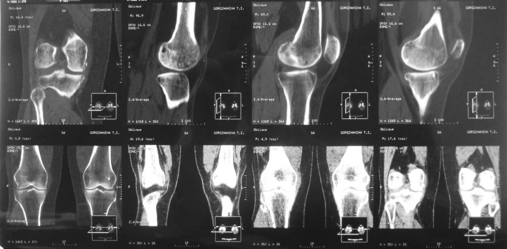
Пациентка Г. 50 лет

жалобы на боль в коленном суставе в течении 1 года. консультирована краевым ортопедом
выставлен DS: Синдром медиопателярной связки коленного сустава. Тактика дальнейшего
ведения.
травматолог
----------- следущая часть -----------
Вложение не в текстовом формате было извлечено…
Имя     : 2_1.JPG
Тип     : image/jpg
Размер  : 83561 байтов
Описание: отсутствует
Url     : http://weborto.net:8080/pipermail/ortho/attachments/20120315/99ae74bc/attachment-0001.jpg 


Подробная информация о списке рассылки Ortho