[Ortho] остеобластокластома

"Максим" orthoforum на weborto.net
Пт Мар 16 10:05:33 YEKT 2012


Уважаемые коллеги, доброе время суток. Вопрос травматологам- ортопедам  занимающихся хирургией кисти.
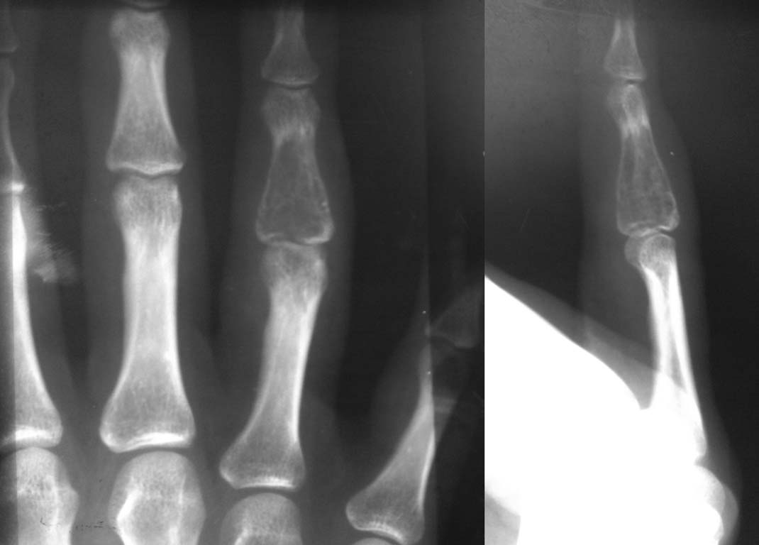
Больная 32 года.  Находилась на лечении в отделении микрохирургии  кисти г. Хабаровск  с  20.09.11 по 30.09.11  с диагнозом – энхондрома  основания средней фаланги  4 пальца левой кисти, патологический перелом   основания средней фаланги. 23.09.11 – операция – резекция опухоли, аллопластика Chronos.  По данным гистологического обследования – гигантоклеточная опухоль. Дальнейшее лечение – 5 недель иммобилизации.  В течении полугода – не наблюдалась. 


Повторное обращение в марте  2012 года – жалобы на выраженный отек  4 пальца, нарушение функции.  На R-n – перестройки   Chronos не произошло,  тотальный лизис  средней фаланги.  Госпитализирована с диагнозом остеобластокластома  средней фаланги  4 пальца левой кисти, литическая форма.  06.03.12 – операция, удаление Chronos, резекция  опухоли, наложение конструкции из спиц. Во время операции – от средней фаланги осталась только резко истонченная головка. 
Наша тактика – в течение нескольких месяцев наблюдаем, R-n контроль. Если рост опухоли прекратится, проводим костную аутопластику средней фаланги или  дистракционное удлинение проксимальной фаланги с последующим эндопротезированием сустава.
Если распространение опухоли продолжится – ампутация до здоровых тканей. 
Как быть если опухоль продолжит  рост, процесс затронет  дистальную и проксимальную  фаланги. Мягкие ткани не изменены, возможно  ли сохранение пальца хотя бы в косметическом плане.
Спасибо. 

Максим
ГУЗ ККБ №2 г. Хабаровск
----------- УМЕДХЭБС ЮБУФШ -----------
Вложение в формате HTML было извлечено…
URL: http://weborto.net:8080/pipermail/ortho/attachments/20120316/05260642/attachment-0001.htm 
----------- УМЕДХЭБС ЮБУФШ -----------
Вложение не в текстовом формате было извлечено…
Имя     : 01.09.11.jpg
Тип     : image/jpg
Размер  : 47857 байтов
Описание: отсутствует
Url     : http://weborto.net:8080/pipermail/ortho/attachments/20120316/05260642/attachment-0001.jpg 


Подробная информация о списке рассылки Ortho