[Ortho] остеотомия 1 плюсневой кости по Логерешно

"Бережной Сергей" orthoforum на weborto.net
Сб Мар 17 14:49:30 YEKT 2012


-Логрошино - гипс 2 месяца, поперечная полная остеотомия головки 1 плюсневой кости с угрозой
асептического ее перерождения и контрактуры 1 ПФС из-за плюсне-сесамовидных сенехий.
Дистальная остеотомия в комбинированной технике Логрошино - ни что иное, как хорошо
известная операция Ревердина: очень стабильная остеотомия, позволяющая давать сразу
полную нагрузку. Чрескожной модификации этой операции (остеотомия Ревердина-Айшема) Вы
же сами обучаете курсантов на интенсивном курсе. Вероятно, не опасаясь при этом
асептического перерождения и синехий. А асептические некрозы головки 1 плюсневой чаще
являются следствием травматичного выполнения операции или повреждения питающей головку
артерии при слишком проксимальном выполнении остеотомии. И то и другое не относится к
недостаткам хирургической техники. Остеотомия же основания 1 плюсневой, в соответствии с
оригинальной методикой, должна быть закрытой клиновидной и может фиксироваться хоть
винтом
(http://www.dmgpodiatry.com/animated-video-austin-bunionectomy-atkin-osteotomy.htm),
хоть спицами. На выбор хирурга. В любом случае ни о каком гипсе, да еще на 2 месяца, речь после
этой операции не должна идти. Возможна немедленная нагрузка в туфлях Барука. И еще по поводу
артроза 1 плюснефалангового сустава. Его причина, чаще всего, в необоснованном удлинении 1
плюсневой кости за счет внедрения клина в область базальной остеотомии в тех случаях, когда
изначально имеется преобладание длины 1 плюсневой. В этом случае артроз также является
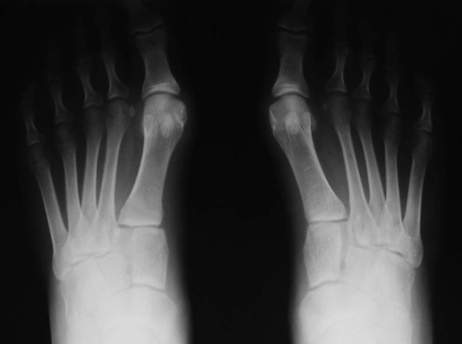
следствием просчета в планировании, а не недостатком техники. Во вложении - демонстрация
развития артроза из-за удлинения после открытой клиновидной остеотомии. Правда, это была
методика ЦИТО, но смысл тот же: дистальной остеотомии тут вовсе не было, да и спицы ни при чем.
Бережной Сергей
----------- следущая часть -----------
Вложение в формате HTML было извлечено…
URL: http://weborto.net:8080/pipermail/ortho/attachments/20120317/d8260bf3/attachment-0001.htm 
----------- следущая часть -----------
Вложение не в текстовом формате было извлечено…
Имя     : image001.jpg
Тип     : image/jpg
Размер  : 32096 байтов
Описание: отсутствует
Url     : http://weborto.net:8080/pipermail/ortho/attachments/20120317/d8260bf3/attachment-0003.jpg 
----------- следущая часть -----------
Вложение не в текстовом формате было извлечено…
Имя     : image003 copy.jpg
Тип     : image/jpg
Размер  : 26673 байтов
Описание: отсутствует
Url     : http://weborto.net:8080/pipermail/ortho/attachments/20120317/d8260bf3/attachment-0004.jpg 
----------- следущая часть -----------
Вложение не в текстовом формате было извлечено…
Имя     : image005.jpg
Тип     : image/jpg
Размер  : 50918 байтов
Описание: отсутствует
Url     : http://weborto.net:8080/pipermail/ortho/attachments/20120317/d8260bf3/attachment-0005.jpg 


Подробная информация о списке рассылки Ortho