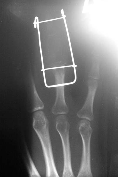
[Ortho] остеобластокластома

"Максим" orthoforum на weborto.net
Сб Мар 17 16:58:14 YEKT 2012


На данных R- граммах отсутствует практически вся средняя фаланга за исключением головки. 
Максим
----------- следущая часть -----------
Вложение в формате HTML было извлечено…
URL: http://weborto.net:8080/pipermail/ortho/attachments/20120317/0df321c2/attachment-0001.htm 
----------- следущая часть -----------
Вложение не в текстовом формате было извлечено…
Имя     : 140320121068.jpg
Тип     : image/jpg
Размер  : 29991 байтов
Описание: отсутствует
Url     : http://weborto.net:8080/pipermail/ortho/attachments/20120317/0df321c2/attachment-0001.jpg 


Подробная информация о списке рассылки Ortho