[Ortho] К вопросу о фасциотомии

"Мацукатов Феодор" orthoforum на weborto.net
Сб Мар 17 21:19:06 YEKT 2012


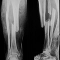
Компартмент-синдром - это как снежный человек - много разговоров, но мало кто видел.  Но этот "снежный человек" однозначно существует. Я лично тоже не видел. Хотя имел полный шанс созерцать его.Но этому "шансу" не дал реализоваться. Мы придерживаемся своей тактики профилактики данного грозного осложнения: 1. Минимально травматичная, максимально точная и быстрая репозиция костных отломков, а также максимально стабильная их фиксация; 2. Интра- и послеоперационное дренирование гематомы; 3. максимальный покой конечности. В приведенном случае течение компартмент-синдрома усугубилось травматичностью оперативных вмешательств и продолжающимся кровотечением как одного из факторов повышения внутритканевого давления за счет внутри- и межфасциальных гематом. К тому же отсутствует вторая проекция рентгенограмм. Но даже на имеющейся репозиция оставляет желать лучшего. Атравматичная, точная и быстрая репозиция расчитана на закрытие костной раны и, соответственно препятствует образованию гематом. Дренирование уже имеющихся гематом также является немаловажным фактором. Спицевые отверстия в мягких тканях являются неплохими дренажами. Иногда в местах наиболее эффективного дренирования гематомы мы вводим и оставляем на несколько дней торчащие из тканей отрезки спиц.Как правило, этих мероприятий достаточно, чтобы не дать развиться этому грозному осложнению.
В подтверждение привожу снимки пациента И., 66 лет, поступившего с тяжелой сочетанной травмой через 3 суток после получения травмы. Объективно при поступлении - огромный, болезненный, напряженный отек голени, парестезии и ослабление пульсации на стопе. Прооперирован в день поступления. Все сделано так, как было описано выше. В послеоперационном периоде все признаки синдрома быстро пошли на спад. Начал приступать на конечность через 3 суток после операции, через две недели давал умеренную нагрузку, а через месяц мог ходить без дополнительных средств опоры.
Мацукатов Феодор
----------- следущая часть -----------
Вложение не в текстовом формате было извлечено…
Имя     : IMG_2628.JPG
Тип     : image/jpg
Размер  : 3680 байтов
Описание: отсутствует
Url     : http://weborto.net:8080/pipermail/ortho/attachments/20120317/e263b244/attachment.jpg 
----------- следущая часть -----------
Вложение не в текстовом формате было извлечено…
Имя     : IMG_2629.JPG
Тип     : image/jpg
Размер  : 5737 байтов
Описание: отсутствует
Url     : http://weborto.net:8080/pipermail/ortho/attachments/20120317/e263b244/attachment-0001.jpg 


Подробная информация о списке рассылки Ortho