[Ortho] Тотальное эндопротезирование тазобедренного сустава.

Djoldas Kuldjanov orthoforum на weborto.net
Вс Мар 18 11:57:19 YEKT 2012


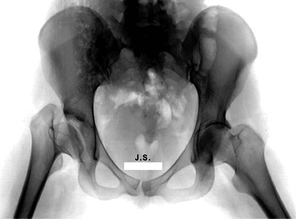
Здесь комбинированная патология тазобедреннего сустава, связанная с высокостоящим вертелом и отсутствием (ротирована?) шейкой. А на стороне вертлужной впадины диспластический сустав. Обычно высоко расположенный вертел приводит к уменьшению силы мышц абдукторов, но отстутствие шейки привело к вертикальному расположению  сил в суставе. Боли появляются из-за вертикального давления, а неровные контуры головки приводят к ограничению движений в суставе. Такое состояние быстро изнашивает сустав, и больные в молодом возрасте заканчивают тотальным протезированием.
Протезировать может любой специалист по артропластике, но все таки молодой возраст, не очень приятная перспектива. Желательно сохранить собственный сустав и иногда  укорочение конечности можно устранить за счет удлинения шейки, а в дальнейшем Периацетабулярная Остеотомия. Но, еще раз повторяю, иногда!
Для оценки пригодности сустава надо сделать снимки во внутренной и наружной ротации, а также с отведением и приведением каждого сустава. Сравнительные снимки  покажут возможный подвывих и укорочение, а также состояние суставной щели. 3D Компьютерная Томография покажет возможную ротацию шейки.

Представленный случай имеет схожесть....,  и последний снимок после 2 х лет.
Djoldas Kuldjanov

----------- следущая часть -----------
Вложение в формате HTML было извлечено…
URL: http://weborto.net:8080/pipermail/ortho/attachments/20120318/492579fd/attachment-0001.htm 
----------- следущая часть -----------
Вложение не в текстовом формате было извлечено…
Имя     : hip 70.jpg
Тип     : image/jpg
Размер  : 38053 байтов
Описание: отсутствует
Url     : http://weborto.net:8080/pipermail/ortho/attachments/20120318/492579fd/attachment-0005.jpg 
----------- следущая часть -----------
Вложение не в текстовом формате было извлечено…
Имя     : hip 71.jpg
Тип     : image/jpg
Размер  : 37454 байтов
Описание: отсутствует
Url     : http://weborto.net:8080/pipermail/ortho/attachments/20120318/492579fd/attachment-0006.jpg 
----------- следущая часть -----------
Вложение не в текстовом формате было извлечено…
Имя     : hip 72.jpg
Тип     : image/jpg
Размер  : 40184 байтов
Описание: отсутствует
Url     : http://weborto.net:8080/pipermail/ortho/attachments/20120318/492579fd/attachment-0007.jpg 
----------- следущая часть -----------
Вложение не в текстовом формате было извлечено…
Имя     : hip 73.jpg
Тип     : image/jpg
Размер  : 51084 байтов
Описание: отсутствует
Url     : http://weborto.net:8080/pipermail/ortho/attachments/20120318/492579fd/attachment-0008.jpg 
----------- следущая часть -----------
Вложение не в текстовом формате было извлечено…
Имя     : hip 74.jpg
Тип     : image/jpg
Размер  : 44388 байтов
Описание: отсутствует
Url     : http://weborto.net:8080/pipermail/ortho/attachments/20120318/492579fd/attachment-0009.jpg 


Подробная информация о списке рассылки Ortho