[Ortho] Аваскулярный некроз таранной кости

"Алексей Баженов" orthoforum на weborto.net
Вт Мар 20 20:52:19 YEKT 2012


Доброго времени суток, уважаемые коллеги. Прошу помочь определиться с тактикой лечения.
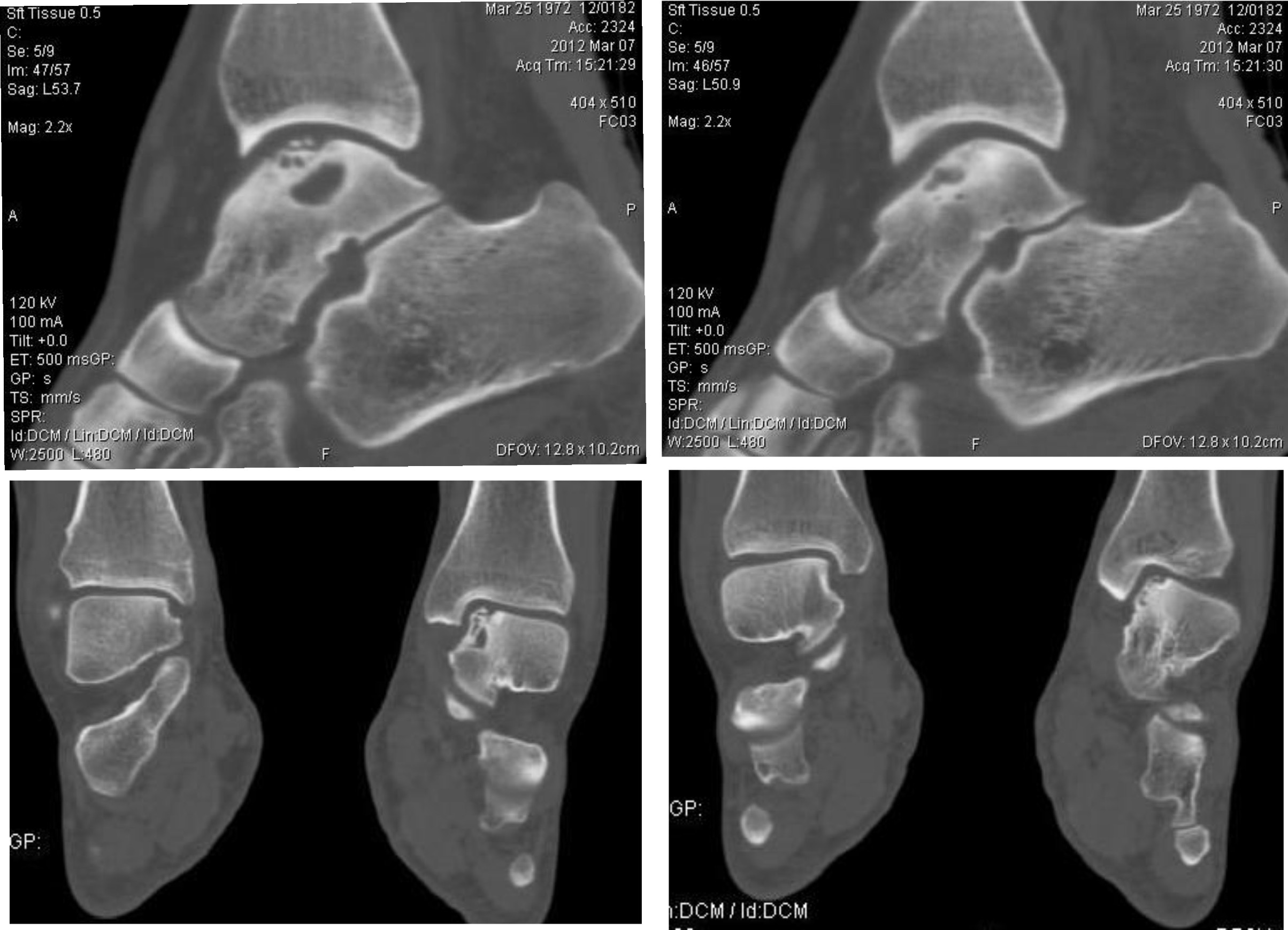
Пациентка 40 лет, в течение последних 8-9 мес. беспокоила боль в левом голеностопном суставе
после значительной физической нагрузки (по роду деятельности вынуждена проходить в день не
менее 15 км). Факт травмы отрицает. Лечилась самостоятельно, мазями и приемом НПВП. В
последнее время боль стала возникать после умеренной нагрузки, присоединились отек и
хромота. Прием НПВП и ограничение нагрузки до уровня бытовой болевой и отечный синдром
купируют. Обратилась к нам, выявлены изменения таранной и пяточной кости, представленные
на КТ. Вопрос: единственным ли выходом является артродез или можно обойтись менее
радикальным вмешательством? Смущает невыраженная клиника и молодой возраст пациентки...
Будем рады любой помощи со стороны уважаемого сообщества. 
А. Баженов, г. Екатеринбург

----------- следущая часть -----------
Вложение в формате HTML было извлечено…
URL: http://weborto.net:8080/pipermail/ortho/attachments/20120320/802c8aa4/attachment-0001.htm 
----------- следущая часть -----------
Вложение не в текстовом формате было извлечено…
Имя     : фБТБООБС ЛПУФШ.jpg
Тип     : image/jpg
Размер  : 375775 байтов
Описание: отсутствует
Url     : http://weborto.net:8080/pipermail/ortho/attachments/20120320/802c8aa4/attachment-0001.jpg 


Подробная информация о списке рассылки Ortho