[Ortho] Патологический перелом шейки бедра

"Игорь" orthoforum на weborto.net
Вт Мар 27 23:32:43 YEKST 2012


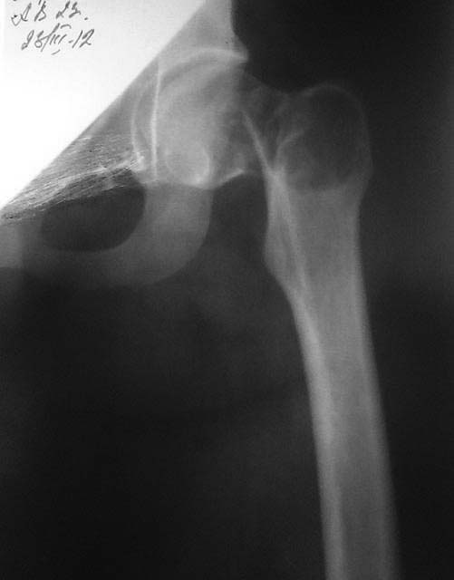
Пациентка 23 года срок беременности 22 недели. Травма низкоэнергетическая ( падение на бок ). Отмечает наличие болевого синдрома в области т/б сустава около 1 года. Планируем остеосинтез (гамма стержнем или  DHS)  + биопсия.
Ув. коллеги помогите определиться с тактикой. Возможно мы что то не учитываем.


Игорь
----------- следущая часть -----------
Вложение не в текстовом формате было извлечено…
Имя     : вЕЪЩНСООЩК.JPG
Тип     : image/jpg
Размер  : 26363 байтов
Описание: отсутствует
Url     : http://weborto.net:8080/pipermail/ortho/attachments/20120327/080072d3/attachment-0001.jpg 


Подробная информация о списке рассылки Ortho