[Ortho] ðÁÔÏÌÏÇÉÞÅÓËÉÊ ÐÏÄ×ÅÒÔÅÌØÎÙÊ ÐÅÒÅÌÏÍ ÂÅÄÒÁ

Alexander Chelnokov alex61 ÎÁ gmail.com
óÒ íÁÒ 28 20:28:47 YEKST 2012


ðÒÉ×ÅÔ,

28 ÍÁÒÔÁ 2012 Ç. 13:15 ÐÏÌØÚÏ×ÁÔÅÌØ "áÌÅËÓÁÎÄÒ óÉÔÎÉË" <
orthoforum ÎÁ weborto.net> ÎÁÐÉÓÁÌ:

> ÒÅÏÓÔÅÏÓÉÎÔÅÚ ÇÁÍÍÁ-ÓÔÅÒÖÎÅÍ. õÞÉÔÙ×ÁÑ ÍÁÌÙÊ ÏÐÙÔ ÐÒÉ "ÐÏÓÔÒÁÄÉÁÃÉÏÎÎÙÈ
> ÐÅÒÅÌÏÍÁÈ"
> ÉÎÔÅÒÅÓÕÅÔ ÍÎÅÎÉÅ ÓÏÏÂÝÅÓÔ×Á Ï ÃÅÌÅÓÏÏÂÒÁÚÎÏÓÔÉ ÄÅËÏÒÔÉËÁÃÉÉ ÚÏÎÙ ÐÅÒÅÌÏÍÁ
> É ËÏÓÔÎÏÊ
>

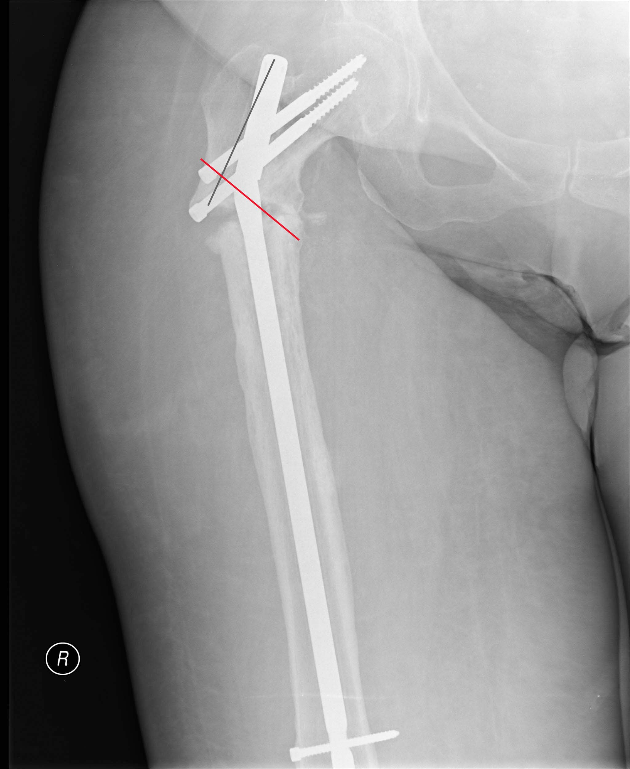
åÓÌÉ ÐÏÓÌÅ ÕÄÁÌÅÎÉÑ ÐÏÄ×ÉÖÎÏÓÔØ ÈÏÒÏÛÁÑ, ÔÏ ÚÁËÒÙÔÏ ×ÐÒÁ×ÉÔØ. åÓÌÉ ÎÅ
ÕÄÁÅÔÓÑ ×ÁÌØÇÉÚÉÒÏ×ÁÔØ Ó ÇÉÐÅÒËÏÒÒÅËÃÉÅÊ, ÔÏ ÍÏÖÎÏ ÓÄÅÌÁÔØ ÞÒÅÓËÏÖÎÕÀ
ÏÓÔÅÏÔÏÍÉÀ ÞÅÒÅÚ ÎÅÓÒÁÝÅÎÉÅ. îÁÄÏ ÎÅ ÐÒÏÓÔÏ ×ÏÓÓÔÁÎÏ×ÉÔØ ÏÓØ, Á Ó
ÇÉÐÅÒ×ÁÌØÇÕÓÏÍ, ÔÏ ÅÓÔØ × ÃÅÎÔÒÁÌØÎÏÍ ÏÔÌÏÍËÅ ÎÏ×ÙÊ Ç×ÏÚÄØ ÐÒÏ×ÅÓÔÉ ÉÚ ÔÏÊ
ÖÅ ÔÏÞËÉ ×ÈÏÄÁ, ÎÏ ÄÁÌØÛÅ - ÌÁÔÅÒÁÌØÎÅÅ ÉÍÅÀÝÅÇÏÓÑ ËÁÎÁÌÁ. ôÏ ÅÓÔØ ××ÅÓÔÉ
Ä×Å ÓÐÉÃÙ ÓÐÅÒÅÄÉ ÎÁÚÁÄ × ÓÔÁÒÙÊ ËÁÎÁÌ, É ÐÒÏÄÅÌÁÔØ ÌÁÔÅÒÁÌØÎÅÅ ÎÏ×ÙÊ. îÁ
ÐÒÉÌÏÖÅÎÎÏÊ  ËÁÒÔÉÎËÅ ÐÏËÁÚÁÎÙ ÐÒÁ×ÉÌØÎÏÅ ÐÏÌÏÖÅÎÉÅ Ç×ÏÚÄÑ É ÌÉÎÉÑ
ÏÓÔÅÏÔÏÍÉÉ.
îÁÄÏ ÐÏÓÍÏÔÒÅÔØ, ÞÔÏ ÎÁ ÂÏËÏ×ÏÊ ÅÝÅ. íÏÖÅÔ, É ÔÁÍ ÎÅÓÏÓÎÏ ÞÔÏ-ÔÏ ÂÙÌÏ.

-- 
Best regards,
 Alexander N. Chelnokov
Ural Scientific Research Institute
of Traumatology and Orthopaedics
7, Bankovsky str. Ekaterinburg 620014 Russia
----------- ÓÌÅÄÕÝÁÑ ÞÁÓÔØ -----------
÷ÌÏÖÅÎÉÅ × ÆÏÒÍÁÔÅ HTML ÂÙÌÏ ÉÚ×ÌÅÞÅÎÏ&hellip;
URL: http://weborto.net:8080/pipermail/ortho/attachments/20120328/15c51a54/attachment-0001.htm 
----------- ÓÌÅÄÕÝÁÑ ÞÁÓÔØ -----------
÷ÌÏÖÅÎÉÅ ÎÅ × ÔÅËÓÔÏ×ÏÍ ÆÏÒÍÁÔÅ ÂÙÌÏ ÉÚ×ÌÅÞÅÎÏ&hellip;
éÍÑ     : 120327 lines.jpg
ôÉÐ     : image/jpeg
òÁÚÍÅÒ  : 187590 ÂÁÊÔÏ×
ïÐÉÓÁÎÉÅ: ÏÔÓÕÔÓÔ×ÕÅÔ
Url     : http://weborto.net:8080/pipermail/ortho/attachments/20120328/15c51a54/attachment-0001.jpg 


ðÏÄÒÏÂÎÁÑ ÉÎÆÏÒÍÁÃÉÑ Ï ÓÐÉÓËÅ ÒÁÓÓÙÌËÉ Ortho