[Ortho] Несращение дистального отдела костей голени

Marat orthoforum на weborto.net
Сб Май 5 22:55:24 YEKST 2012


Спасибо за ответы.
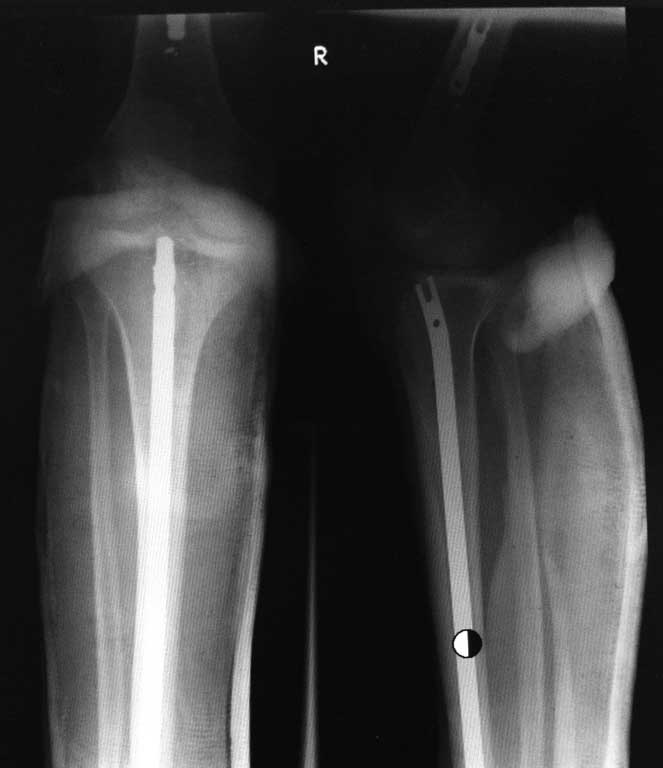
Со слов отсутствовала заглушка на проксимальном конце стержня и была сорванная резьба. Потуги с обеих концов не достигли успеха. Одно проксимальное отверстие через которое происходило выбивание стержня было порвано. До остеотомии не дошли, видимо времени было потрачено достаточно много.

Сомневаюсь, поможет ли теперь ограниченная 5-6см Г-образная остеотомия для извлечения проксимального конца стержня. Т.е. добиваемся декомпрессии в области истмуса и стержень легко извлекается?

Кожа чистая, воспалений и свищей нет.
Еще одна версия лечения высказана теоретиками - оставить в покое прокс. кусок стержня и фиксировать дистальной пластиной LCP как при перипротезных переломах.

На очереди на операцию по квоте уже стоят, обещают годика через два она подойдет)))

И еще снимок в/3 голени:  


Marat
----------- следущая часть -----------
Вложение не в текстовом формате было извлечено…
Имя     : IMG_0181.JPG
Тип     : image/jpg
Размер  : 36955 байтов
Описание: отсутствует
Url     : http://weborto.net:8080/pipermail/ortho/attachments/20120505/c8b75d00/attachment-0001.jpg 


Подробная информация о списке рассылки Ortho