[Ortho] -

ortoped1981 mail.ru
5 15:43:44 YEKST 2012


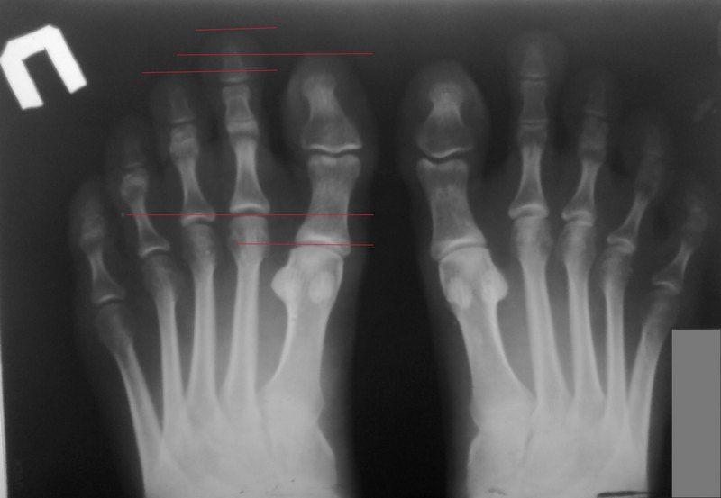
Девушка 28 л. обратилась с жалобами на косметический дефект обеих стоп - выстояние 2-х пальцев из общего ряда. Выполнена Р-графия (см. в приложении) - по моему мнению имеет место укорочение 1-х плюсневых костей. Кроме косметического дефекта других жалоб со стороны стоп не предъявляет. За счет того, что размер обуви подбирается по 1-м пальцам, второй палец постоянно подогнут и формируется его молоткообразная деформация. Как можно помочь? 
Напрашивается логичный вариант удлинения 1-х плюсневых костей, но от него пациентка категорически отказывается (увеличится размер обуви :) ). Может что-то предпринять со 2-ми пальцами: резекция оснований основных фаланг (но в таком возрасте очень не хочется), либо же укорачивающая остеотомия основных фаланг... 


С уважением А. В. Л.
-----------   -----------
Вложение в формате HTML было извлечено…
URL: http://weborto.net:8080/pipermail/ortho/attachments/20120505/d0f384b1/attachment-0001.htm 
-----------   -----------
Вложение не в текстовом формате было извлечено…
Имя     : отсутствует
Тип     : image/jpeg
Размер  : 56671 байтов
Описание: отсутствует
Url     : http://weborto.net:8080/pipermail/ortho/attachments/20120505/d0f384b1/attachment-0001.jpeg 


Ortho