[Ortho] Патология переднего отдела стоп - косметический дефект

"Бережной Сергей" orthoforum на weborto.net
Пн Май 7 16:30:19 YEKST 2012


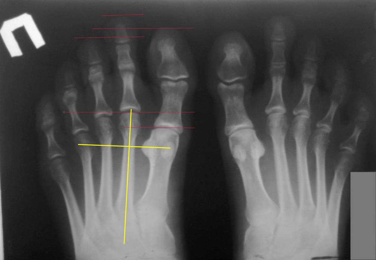
Хорошо, что пациентка отказалась от удлинения 1 плюсневой. Это привело бы к быстрому развитию hallux limitus и артроза. А почему Вы подумали, что 1 плюсневые укорочены? На представленной Вами рентгенограмме я провел перпендикуляр к оси 2 плюсневой кости на уровне середины латеральной сесамовидной. Линия прошла точно через середину головки 4 плюсневой. Это норма. То есть, длины 4 и 5 плюсневых соответствуют длине первой. А вот длины 2 и 3 плюсневых значимо преобладают над длиной первой. В такой ситуации развитие молоткообразной деформации 2 пальца вполне естественно. Есть ли у пациентки натоптыш под головкой 2 плюсневой? Пусть даже и бессимптомный. Если есть, то лучше всего совместить укорочение основной фаланги с остеотомией 2 плюсневой по Вейль. Сама по себе эта остеотомия дает укорочение до 3-5мм. И одновременно позволяет вывести из-под повышенной нагрузки головку 2 плюсневой. Вмешательство на фаланге и плюсневой кости можно делать из одного доступа.  
Бережной Сергей
----------- следущая часть -----------
Вложение в формате HTML было извлечено…
URL: http://weborto.net:8080/pipermail/ortho/attachments/20120507/2eac333c/attachment-0001.htm 
----------- следущая часть -----------
Вложение не в текстовом формате было извлечено…
Имя     : тЙУХОПЛ1.jpg
Тип     : image/jpg
Размер  : 50719 байтов
Описание: отсутствует
Url     : http://weborto.net:8080/pipermail/ortho/attachments/20120507/2eac333c/attachment-0001.jpg 


Подробная информация о списке рассылки Ortho