[Ortho] Старый знакомый DHS

Djoldas Kuldjanov orthoforum на weborto.net
Чт Май 10 07:43:15 YEKST 2012


> Считаю, что задачей форума и является дискуссия, обмен опытом и материалами, чего как я вижу немного достиг. Спасибо огромное за статью!!!

Подробный анализ ошибок проводим на ежемесячной конференции M&M (Morbidity and Mortality), где разбираются причины с выводом мероприятии по уменьшению подобных ошибок. Из хронологии сообщении кажется, что такой разбор состоялся и благодарим за описанный прогресс "как не надо лечить"!
По поводу осторожности коллег, из предыдущих разборов некоторые коллеги без ведома хирурга дискутировали случай и как выяснилось, что мнение форума было необходимо для дискредитации коллеги. Поэтому выставляя случай, желательно конкретизировать, о чем идет речь, и дополнить выступление полной клинической информацией.
Для принятия правильной тактики каждый элемент имеет ценность, возраст, активность и сопутствующие заболевания. Описание преморбидного состояния, на что надо ориентироваться в тактике лечения, т.к. невозможно сделать ходячим household ambulatory или прикованных к коляске больных. Более агрессивная тактика - активным больным.
Послеоперацонные осложнения после стабилизации чрезвертельных переломов встречается от 4 до 12% и зависит от контролируемых и неконтролириуемых врачами факторов. Выбор фиксатора и качество репозиции контролируется врачом, а качество кости и геометрию перелома трудно контролировать. Kaufer, CORR 1980.
Технические погрешности во время операции являются одним из факторов осложнении, и в статье Michael Baumgaertner, The Value of the Tip-Apex Distance (TАD) in Predicting Failure of Fixation of Peritrochanteric Fracture of the Hip подробно описано о возможностях обойти осложнения. Но из практики TAD не всегда является предиктором осложнении, и случаи Cut Out с идеальным шеечным винтом доказывает, что качество кости и геометрия фрагментов имеют значение!
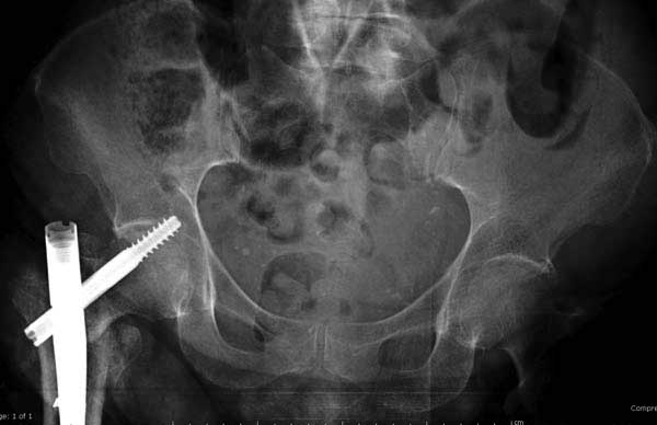
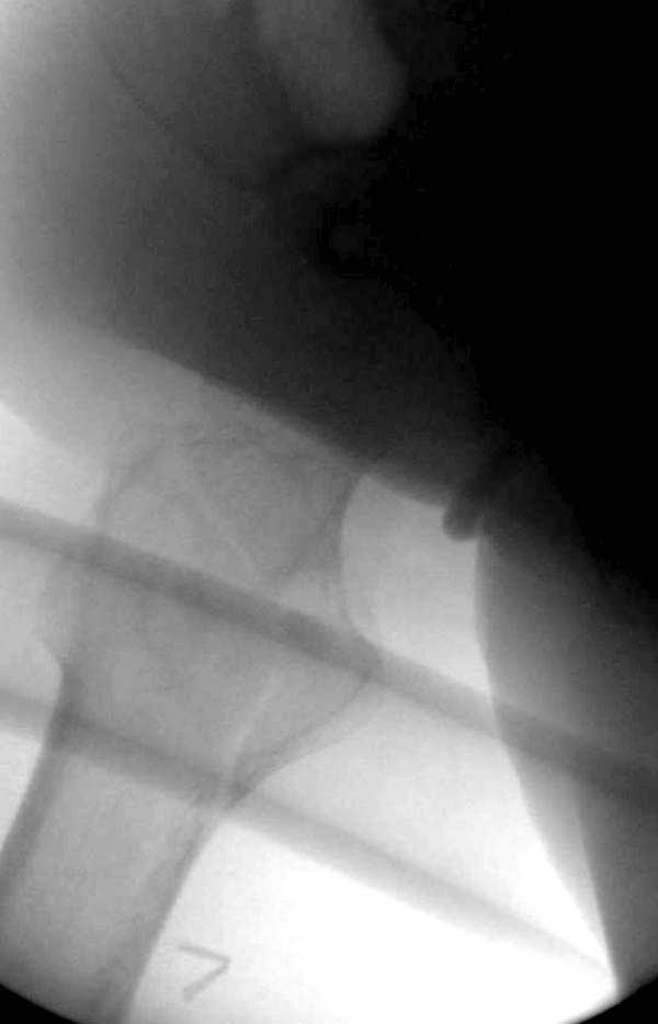
Первые снимки показывают технические погрешности установки DHS. Не была достигнута репозиция, конечность в флексии и шейка в ротации. Сегодня все меньше обращают внимание на параметры для оценки репозиции (S контуры Lowell в обеих проекциях и Garden Alignment Index, в норме 155 и 180 градусов), хотя такие простые тесты помогли бы дорепонировать смещение. Винт находится сзади в головке, что при нагрузке поменяет вектор и вместо компрессии в линии перелома срежет головку-Cut Out!
В зависимости от дистанции линии перелома и латерального кортекса надо использовать разной длины barrel, т.е. конец баррели не должен доходить до пределов перелома. Здесь конец длинного ствола упирается в медиальный фрагмент, что мешает созданию компрессии, а более короткий barrel создал бы запас для компрессии. В боковой пластине вместо 4х можно было ограничится двумя шурупами, потому что головка шурупа в 4.5 мм выдерживает давление до 350 кг.
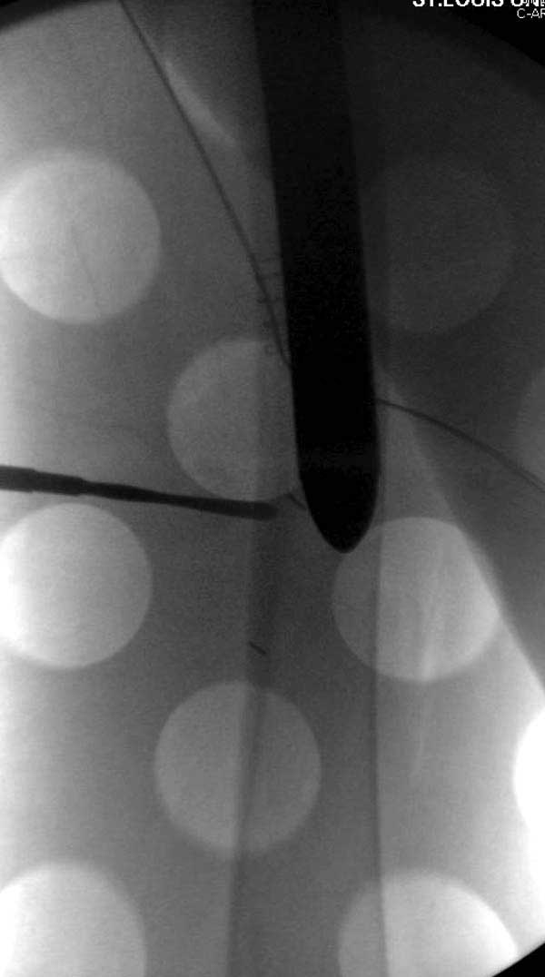
Вторая операция- это фаза сохранения головки бедра. Желательно приложить все усилия и сохранить головку, но, как видно, “фиаско” продолжается. Здесь вместо нейтрализации сил между медиальной и латеральными сторонами была попытка удержать варус. Варус не удержать ни деротационными шурупами о котором говорили и не костными стружками вбитые в шейку, потому что вся нагрузка упирается в головку.
Как отметил Евгений, 95 degree Blade Plate Fixed Angle device  расчитана на восстановление взаимоотношении между головкой и диафизом, а все остальные фиксаторы (Gamma, Afifuxus и др.) работают за счет нагрузки в верхнем полюсе головки. Верхний полюс успели разрушить, и в головке единственное место, который смог бы удержать широкий клинок конструкции, это медиально-низкий сегмент. После установки клинка засчет дистракции можно удлинить конечность на 15мм, а добавленный в дефект ауто-графт закончил бы дело.
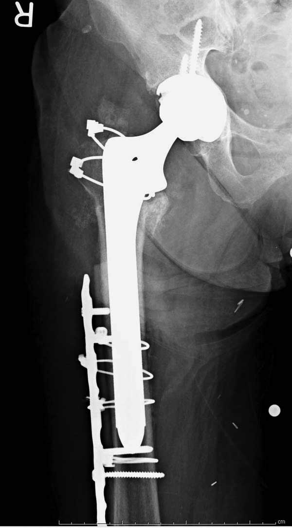
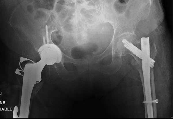
Третья операция-продолжения усилии "синьорами пэрами" по разрушению нормальной анатомии. Крест на головку! По видимому возраст позволяет биполярную конструкции, и при дефекте  calcar пошли на обычный цементный. Ягодичные мышцы потеряли связь с вертелом, т.е. отсутствует верхний удержатель, и результат “a Big Screw Up!” Снимки вызывают головокружение!
В заключение: чрезвертельные переломы можно лечить разными методами, включая наружные фиксаторы, но для начала надо определиться, какой это перелом? Стабильные переломы А1 (1-3), А2 (1) можно фиксировать DHS или гвоздем, а нестабильные переломы - гвоздями или современными пластинами для проксимального бедра. Трудным считается Reverse obliquity A3 (1) который из-за скоса перелома лучше удерживает Blade Plate, но современные гвозди неплохо зарекомендовали в лечении таких переломов.
Если хирурги не устали от своих “творчеств”, тогда можно ре-оперировать с calcar replacement stem, и собрать остаток ягодичных мышц. Глубина и отстутствие артроза позволяет применить любой, биполярный или тотальный, хотя принять решение можно после ревизии ацетабулума.
Малознакомый для российских коллег “старый DHS” до сих пор является одним из бестселлеров не только в Англии, а также у большинства хирургов остального мира. Рандомизированные исследования DHS против nail показали, что для стабильных переломах нет разницы. Отрицательная сторона доступ и кровопотеря, а положительная сторона гвоздей - механические. Современные гвозди трудно установить без ЭОП, а при знании специальных расчетов DHS можно обойтись без рентгена.
Всеобщая любовь к цефаломедуллярным конструкциям в СНГ, это из-за того, что многие коллеги в эволюции развития в лечении чрезвертельных переломов без промежуточного применения (DHS) (как в х-СССР из феодального в социализм) перешли на более современные. Кроме этого, обученные только на публикациях (Челнокова и др.) многие коллеги принимают гвозди как единственные для фиксации чрезвертельных переломов.
Хотя глубоко убежден, что современный ортопед не должен ограничиться (Bloodless) техникой, а должен  владеть всеми видами (пластинами тоже) фиксации переломов, включая открытые.
Такие “чужие осложнения” встречаются у всех и представляю банальный случай, который шаг за шагом показано как перерос в более сложный процесс... Больная 70 лет, множественные ко-морбидности, чрезвертельный перелом первоначально фиксирован Гамма 3. Осложнение в течение 6 недель, ревизия тотальной артропластикой и во время установки ножки обнаружена трещина диафиза (17), из малого доступа фиксация алло-графтом.
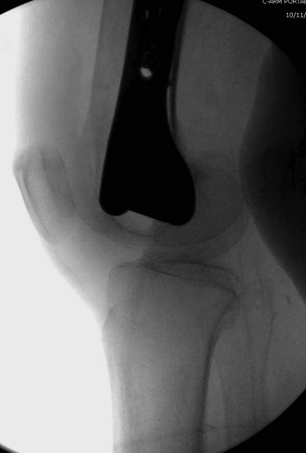
Обычно после чрезвертельных переломов, за исключением молодых, у пожилых остается нестабильность при движении. Часто падают и после 3х мес. в результате падения обнаружен перипротезный перелом (22-23), который зафиксирован Синтез пластиной.
Повторно поступает после двух с половиной лет, где обнаруживается перелом на второй стороне. Немного сложно, но для фиксации выбрали Antegrade InterTan Smith Nephew Nail и с момента фиксации более 3х мес.


Djoldas Kuldjanov
----------- следущая часть -----------
Вложение в формате HTML было извлечено…
URL: http://weborto.net:8080/pipermail/ortho/attachments/20120510/52aada75/attachment-0001.htm 
----------- следущая часть -----------
Вложение не в текстовом формате было извлечено…
Имя     : 2 injury.jpg
Тип     : image/jpg
Размер  : 36711 байтов
Описание: отсутствует
Url     : http://weborto.net:8080/pipermail/ortho/attachments/20120510/52aada75/attachment-0028.jpg 
----------- следущая часть -----------
Вложение не в текстовом формате было извлечено…
Имя     : 3 injury lat.jpg
Тип     : image/jpg
Размер  : 16596 байтов
Описание: отсутствует
Url     : http://weborto.net:8080/pipermail/ortho/attachments/20120510/52aada75/attachment-0029.jpg 
----------- следущая часть -----------
Вложение не в текстовом формате было извлечено…
Имя     : 4 crm 1.jpg
Тип     : image/jpg
Размер  : 25777 байтов
Описание: отсутствует
Url     : http://weborto.net:8080/pipermail/ortho/attachments/20120510/52aada75/attachment-0030.jpg 
----------- следущая часть -----------
Вложение не в текстовом формате было извлечено…
Имя     : 5 CRM reduction lat.jpg
Тип     : image/jpg
Размер  : 27999 байтов
Описание: отсутствует
Url     : http://weborto.net:8080/pipermail/ortho/attachments/20120510/52aada75/attachment-0031.jpg 
----------- следущая часть -----------
Вложение не в текстовом формате было извлечено…
Имя     : 6 CRM.2 lag screw.jpg
Тип     : image/jpg
Размер  : 33596 байтов
Описание: отсутствует
Url     : http://weborto.net:8080/pipermail/ortho/attachments/20120510/52aada75/attachment-0032.jpg 
----------- следущая часть -----------
Вложение не в текстовом формате было извлечено…
Имя     : 7 CRM lat.jpg
Тип     : image/jpg
Размер  : 32927 байтов
Описание: отсутствует
Url     : http://weborto.net:8080/pipermail/ortho/attachments/20120510/52aada75/attachment-0033.jpg 
----------- следущая часть -----------
Вложение не в текстовом формате было извлечено…
Имя     : 8 Post Op AP.jpg
Тип     : image/jpg
Размер  : 33194 байтов
Описание: отсутствует
Url     : http://weborto.net:8080/pipermail/ortho/attachments/20120510/52aada75/attachment-0034.jpg 
----------- следущая часть -----------
Вложение не в текстовом формате было извлечено…
Имя     : 10 2 week Follow Up AP.jpg
Тип     : image/jpg
Размер  : 53745 байтов
Описание: отсутствует
Url     : http://weborto.net:8080/pipermail/ortho/attachments/20120510/52aada75/attachment-0035.jpg 
----------- следущая часть -----------
Вложение не в текстовом формате было извлечено…
Имя     : 11 2 week  follow up.jpg
Тип     : image/jpg
Размер  : 55333 байтов
Описание: отсутствует
Url     : http://weborto.net:8080/pipermail/ortho/attachments/20120510/52aada75/attachment-0036.jpg 
----------- следущая часть -----------
Вложение не в текстовом формате было извлечено…
Имя     : 12 hardware failure pelvis.jpg
Тип     : image/jpg
Размер  : 33968 байтов
Описание: отсутствует
Url     : http://weborto.net:8080/pipermail/ortho/attachments/20120510/52aada75/attachment-0037.jpg 
----------- следущая часть -----------
Вложение не в текстовом формате было извлечено…
Имя     : 13 hardware failure 1.jpg
Тип     : image/jpg
Размер  : 45279 байтов
Описание: отсутствует
Url     : http://weborto.net:8080/pipermail/ortho/attachments/20120510/52aada75/attachment-0038.jpg 
----------- следущая часть -----------
Вложение не в текстовом формате было извлечено…
Имя     : 14 hard ware failure.jpg
Тип     : image/jpg
Размер  : 33250 байтов
Описание: отсутствует
Url     : http://weborto.net:8080/pipermail/ortho/attachments/20120510/52aada75/attachment-0039.jpg 
----------- следущая часть -----------
Вложение не в текстовом формате было извлечено…
Имя     : 15 diaphysis.jpg
Тип     : image/jpg
Размер  : 25215 байтов
Описание: отсутствует
Url     : http://weborto.net:8080/pipermail/ortho/attachments/20120510/52aada75/attachment-0040.jpg 
----------- следущая часть -----------
Вложение не в текстовом формате было извлечено…
Имя     : 17 thin diaphysis.jpg
Тип     : image/jpg
Размер  : 37050 байтов
Описание: отсутствует
Url     : http://weborto.net:8080/pipermail/ortho/attachments/20120510/52aada75/attachment-0041.jpg 
----------- следущая часть -----------
Вложение не в текстовом формате было извлечено…
Имя     : 19 hip PO final.jpg
Тип     : image/jpg
Размер  : 48504 байтов
Описание: отсутствует
Url     : http://weborto.net:8080/pipermail/ortho/attachments/20120510/52aada75/attachment-0042.jpg 
----------- следущая часть -----------
Вложение не в текстовом формате было извлечено…
Имя     : 21 IT fx Rt replacement allo postop 3mnts.JPG
Тип     : image/jpg
Размер  : 37289 байтов
Описание: отсутствует
Url     : http://weborto.net:8080/pipermail/ortho/attachments/20120510/52aada75/attachment-0043.jpg 
----------- следущая часть -----------
Вложение не в текстовом формате было извлечено…
Имя     : 22 distal fem fx.jpg
Тип     : image/jpg
Размер  : 49238 байтов
Описание: отсутствует
Url     : http://weborto.net:8080/pipermail/ortho/attachments/20120510/52aada75/attachment-0044.jpg 
----------- следущая часть -----------
Вложение не в текстовом формате было извлечено…
Имя     : 23 distal fem fx.lat.jpg
Тип     : image/jpg
Размер  : 26162 байтов
Описание: отсутствует
Url     : http://weborto.net:8080/pipermail/ortho/attachments/20120510/52aada75/attachment-0045.jpg 
----------- следущая часть -----------
Вложение не в текстовом формате было извлечено…
Имя     : 24 distal fem fx fix.jpg
Тип     : image/jpg
Размер  : 34048 байтов
Описание: отсутствует
Url     : http://weborto.net:8080/pipermail/ortho/attachments/20120510/52aada75/attachment-0046.jpg 
----------- следущая часть -----------
Вложение не в текстовом формате было извлечено…
Имя     : 25 IT fx Rt  periprosthetic fixation CRM 3.JPG
Тип     : image/jpg
Размер  : 27484 байтов
Описание: отсутствует
Url     : http://weborto.net:8080/pipermail/ortho/attachments/20120510/52aada75/attachment-0047.jpg 
----------- следущая часть -----------
Вложение не в текстовом формате было извлечено…
Имя     : 26 periprosthetic fx 2.jpg
Тип     : image/jpg
Размер  : 51985 байтов
Описание: отсутствует
Url     : http://weborto.net:8080/pipermail/ortho/attachments/20120510/52aada75/attachment-0048.jpg 
----------- следущая часть -----------
Вложение не в текстовом формате было извлечено…
Имя     : 27 IT fx Rt  periprosthetic fixation final knee 3.jpg
Тип     : image/jpg
Размер  : 59454 байтов
Описание: отсутствует
Url     : http://weborto.net:8080/pipermail/ortho/attachments/20120510/52aada75/attachment-0049.jpg 
----------- следущая часть -----------
Вложение не в текстовом формате было извлечено…
Имя     : 29 IT fx LT injury 0.jpg
Тип     : image/jpg
Размер  : 34633 байтов
Описание: отсутствует
Url     : http://weborto.net:8080/pipermail/ortho/attachments/20120510/52aada75/attachment-0050.jpg 
----------- следущая часть -----------
Вложение не в текстовом формате было извлечено…
Имя     : 31 IT fx LT injury CRM reduction.jpg
Тип     : image/jpg
Размер  : 27261 байтов
Описание: отсутствует
Url     : http://weborto.net:8080/pipermail/ortho/attachments/20120510/52aada75/attachment-0051.jpg 
----------- следущая часть -----------
Вложение не в текстовом формате было извлечено…
Имя     : 32 IT fx LT injury CRM1.JPG
Тип     : image/jpg
Размер  : 26962 байтов
Описание: отсутствует
Url     : http://weborto.net:8080/pipermail/ortho/attachments/20120510/52aada75/attachment-0052.jpg 
----------- следущая часть -----------
Вложение не в текстовом формате было извлечено…
Имя     : 33 IT fx LT injury CRM2.JPG
Тип     : image/jpg
Размер  : 28908 байтов
Описание: отсутствует
Url     : http://weborto.net:8080/pipermail/ortho/attachments/20120510/52aada75/attachment-0053.jpg 
----------- следущая часть -----------
Вложение не в текстовом формате было извлечено…
Имя     : 34 IT fx LT injury CRM3.JPG
Тип     : image/jpg
Размер  : 15815 байтов
Описание: отсутствует
Url     : http://weborto.net:8080/pipermail/ortho/attachments/20120510/52aada75/attachment-0054.jpg 
----------- следущая часть -----------
Вложение не в текстовом формате было извлечено…
Имя     : 35 IT fx LT injury CRM3 final.JPG
Тип     : image/jpg
Размер  : 27796 байтов
Описание: отсутствует
Url     : http://weborto.net:8080/pipermail/ortho/attachments/20120510/52aada75/attachment-0055.jpg 


Подробная информация о списке рассылки Ortho