[Ortho] Дефомация коленного сустава

Ihor orthoforum на weborto.net
Сб Май 12 23:15:52 YEKST 2012


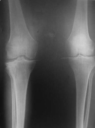
Здравствуйте коллеги,К нам обратилась девушка 17-ти лет с вальгусной деформацией
правого коленного сустава

Из анамнеза : более года назад перелом тибиального плато большеберцовой кости вследствие
ДТП. Была прооперирована в одной из клиник. На сегодняшний день: вальгусная деформация
правого коленного сустава, сгибательная контрактура 0-15-130гр. Планируем провести
коррегирующую остеотомию (open wedge) с замещением дефекта аллотрансплантатом и
фиксацией пластиной. Буду очень благодарен за Ваши советы, С уважением Ihor.
----------- следущая часть -----------
Вложение в формате HTML было извлечено…
URL: http://weborto.net:8080/pipermail/ortho/attachments/20120512/c1a8cb3e/attachment-0001.htm 
----------- следущая часть -----------
Вложение не в текстовом формате было извлечено…
Имя     : IMG_0038.jpg
Тип     : image/jpg
Размер  : 26158 байтов
Описание: отсутствует
Url     : http://weborto.net:8080/pipermail/ortho/attachments/20120512/c1a8cb3e/attachment-0001.jpg 


Подробная информация о списке рассылки Ortho