[Ortho] Дефомация коленного сустава

Ihor orthoforum на weborto.net
Вс Май 13 07:43:23 YEKST 2012


Спасибо за замечания ,


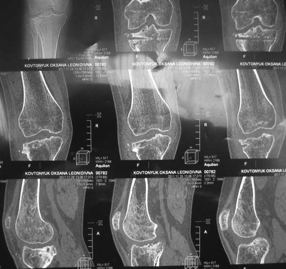
Жалобы на деформацию и нарушение функции правого коленного сустава .Внешний вид –вальгусная деформация на уровне коленного сустава .Коленный сустав стабильный, надколенник при сгибании в правильном положении. 
Планируэм провести остеотомию на уровне проксимального метафиза большеберцовой кости .

Ihor
----------- УМЕДХЭБС ЮБУФШ -----------
Вложение в формате HTML было извлечено…
URL: http://weborto.net:8080/pipermail/ortho/attachments/20120513/91cb8573/attachment-0001.htm 
----------- УМЕДХЭБС ЮБУФШ -----------
Вложение не в текстовом формате было извлечено…
Имя     : IMG_0039.jpg
Тип     : image/jpg
Размер  : 27120 байтов
Описание: отсутствует
Url     : http://weborto.net:8080/pipermail/ortho/attachments/20120513/91cb8573/attachment-0003.jpg 
----------- УМЕДХЭБС ЮБУФШ -----------
Вложение не в текстовом формате было извлечено…
Имя     : IMG_0040.jpg
Тип     : image/jpg
Размер  : 64740 байтов
Описание: отсутствует
Url     : http://weborto.net:8080/pipermail/ortho/attachments/20120513/91cb8573/attachment-0004.jpg 
----------- УМЕДХЭБС ЮБУФШ -----------
Вложение не в текстовом формате было извлечено…
Имя     : IMG_0041.jpg
Тип     : image/jpg
Размер  : 82942 байтов
Описание: отсутствует
Url     : http://weborto.net:8080/pipermail/ortho/attachments/20120513/91cb8573/attachment-0005.jpg 


Подробная информация о списке рассылки Ortho