[Ortho] Дефект проксимального отдела плеча

"Леонид Пак " orthoforum на weborto.net
Пт Май 18 00:15:32 YEKST 2012


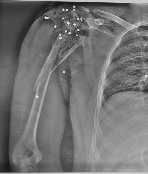
Молодой человек 25 лет поступил с огнестрельным ранением области плечевого сустава.

травма 12.05.12 - огестрельное ранение правого плечевого сустава, открытый
многооскольчатый перелом проксимального отдела плеча с переходом на диафиз. стреляли
практически вупор. Входное отверстие округлое диам 3 см по передней поверхности
дельтовидной области, выходных отверстий множество диам до 0,5 см больше по задне верхней
поверхности дельтовидной области. при поступлении - ПХО при ревизии - удален пластиковый
пыж, повреждена вся дельтовидная мышца частично повреждены надостная подостная мышцы,
капсула сустава разорвана в клочья,сухожилия ротаторной манжеты также разорваны в кашу,
головка плеча - ее не было - просто костная каша в ране, кроме того выявлен перелом акромиона.
гленоид практически не пострадал. Рана промыта нежизнеспособные ткани иссечены, костная
крошка удалена. швы на рану, перелом стабилизирорван стержневым аппаратом. На сегодняшний
день - рана без воспаления, заживление первичное. Движения в кисти, локтевом суставе в
полном объеме. Вопрос к уважаемому сообществу - что делать? С уважением Леонид Пак
----------- следущая часть -----------
Вложение в формате HTML было извлечено…
URL: http://weborto.net:8080/pipermail/ortho/attachments/20120517/10df4269/attachment-0001.html 
----------- следущая часть -----------
Вложение не в текстовом формате было извлечено…
Имя     : image001.jpg
Тип     : image/jpg
Размер  : 35940 байтов
Описание: отсутствует
Url     : http://weborto.net:8080/pipermail/ortho/attachments/20120517/10df4269/attachment-0002.jpg 
----------- следущая часть -----------
Вложение не в текстовом формате было извлечено…
Имя     : image003.jpg
Тип     : image/jpg
Размер  : 29980 байтов
Описание: отсутствует
Url     : http://weborto.net:8080/pipermail/ortho/attachments/20120517/10df4269/attachment-0003.jpg 


Подробная информация о списке рассылки Ortho