[Ortho] проксимальное бедро.

"Владимир" orthoforum на weborto.net
Пт Май 18 00:16:38 YEKST 2012


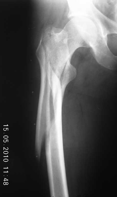
молодой мужчина. травма производственная. падение с высоты 2метра на бок. перелом
распространяется на медиальный и латеральный кортекс. какой имплантат применить в данном
случае оптимально?
Владимир
----------- следущая часть -----------
Вложение не в текстовом формате было извлечено…
Имя     : DSCN3154.JPG
Тип     : image/jpg
Размер  : 25196 байтов
Описание: отсутствует
Url     : http://weborto.net:8080/pipermail/ortho/attachments/20120517/ea51d981/attachment-0001.jpg 


Подробная информация о списке рассылки Ortho