[Ortho] ДОА 1-го плюснефалангового сустава

"Быстров Сергей" orthoforum на weborto.net
Вт Май 22 00:09:54 YEKST 2012


Коллеги, помогите с тактикой дальнейшего лечения.

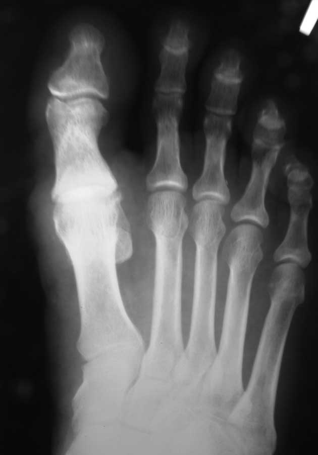
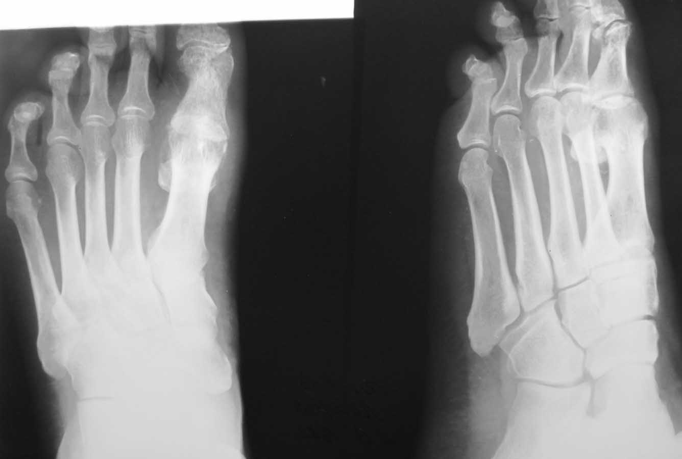
Здравствуйте, коллеги. Помогите с тактикой дальнейшего лечения.Мужчина 52 года, активный
физически. В марте 2012 оперирован по поводу ДОА плюсне-фалангового сустава 1 пальца,
сделана резекция основания основной фаланги и остеофитов головки плюсневой кости.
Послеоперационное лечение: массаж, физиотерапия. В настоящее время беспокоят сильные
боли в суставе, сохраняется ограничение движений. Дальнейшая тактика: артродез ПФС?,
Эндопротезирование ПФС?, повторная резекция основной фаланги? Мнения наших коллег
разделились. На фотографиях: вид стопы в настоящее время, рентгенограммы до операции,
после операции, в настоящее время. Прошу прощения за неважное качество снимков.
Быстров Сергей
Тверь
----------- следущая часть -----------
Вложение в формате HTML было извлечено…
URL: http://weborto.net:8080/pipermail/ortho/attachments/20120521/5700a317/attachment-0001.htm 
----------- следущая часть -----------
Вложение не в текстовом формате было извлечено…
Имя     : МЕВЕДЕЧ 001.jpg
Тип     : image/jpg
Размер  : 172828 байтов
Описание: отсутствует
Url     : http://weborto.net:8080/pipermail/ortho/attachments/20120521/5700a317/attachment-0004.jpg 
----------- следущая часть -----------
Вложение не в текстовом формате было извлечено…
Имя     : МЕВЕДЕЧ 002.jpg
Тип     : image/jpg
Размер  : 70924 байтов
Описание: отсутствует
Url     : http://weborto.net:8080/pipermail/ortho/attachments/20120521/5700a317/attachment-0005.jpg 
----------- следущая часть -----------
Вложение не в текстовом формате было извлечено…
Имя     : МЕВЕДЕЧ 005.jpg
Тип     : image/jpg
Размер  : 36275 байтов
Описание: отсутствует
Url     : http://weborto.net:8080/pipermail/ortho/attachments/20120521/5700a317/attachment-0006.jpg 
----------- следущая часть -----------
Вложение не в текстовом формате было извлечено…
Имя     : МЕВЕДЕЧ 006.jpg
Тип     : image/jpg
Размер  : 48627 байтов
Описание: отсутствует
Url     : http://weborto.net:8080/pipermail/ortho/attachments/20120521/5700a317/attachment-0007.jpg 


Подробная информация о списке рассылки Ortho