[Ortho] Переломо-вывих в локтевом суставе

"Сергей Дукер" orthoforum на weborto.net
Сб Май 26 00:00:29 YEKST 2012


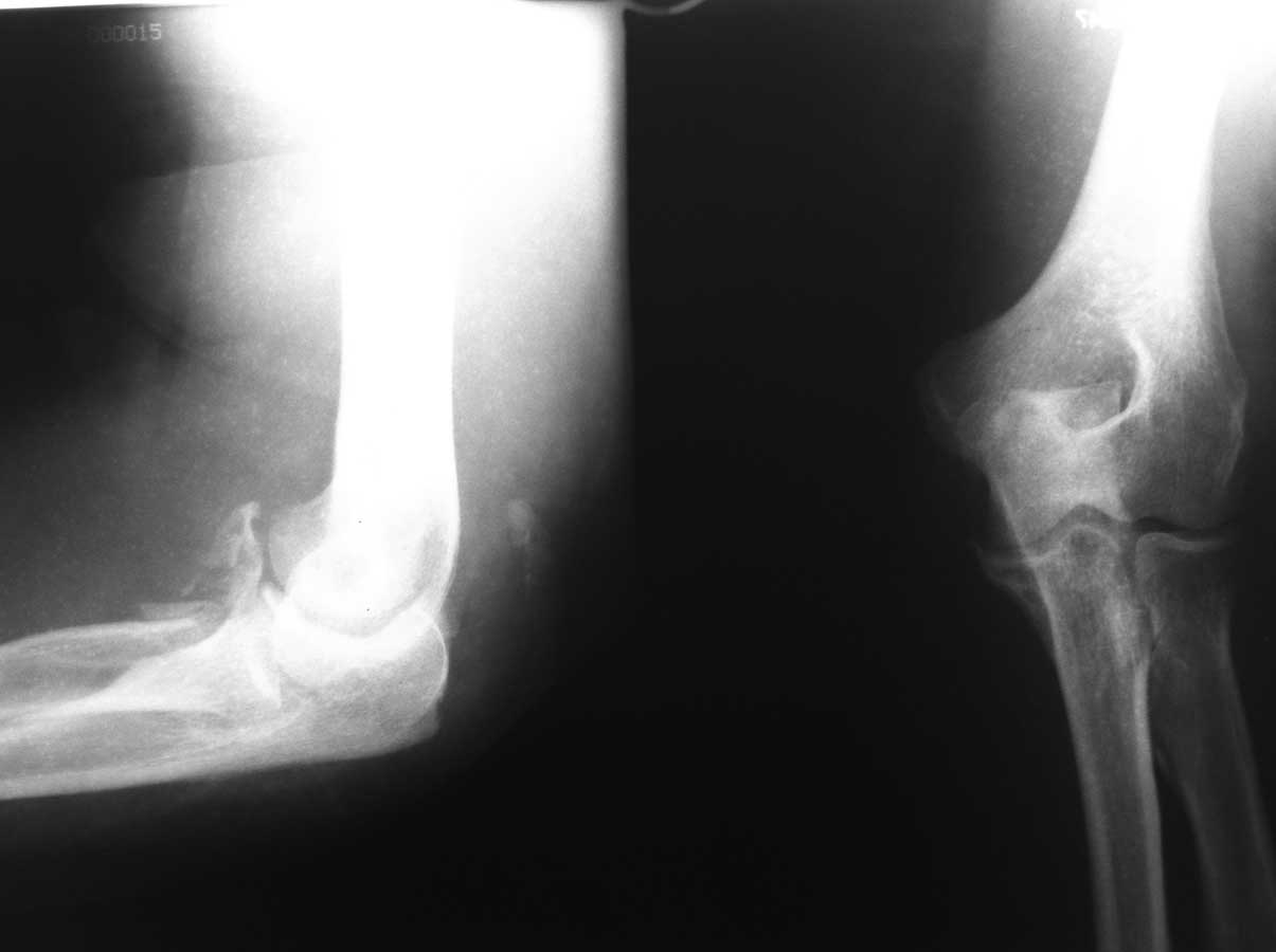
Пациентка 66 лет. Травма в результате падения на руку 12.04.2012. при обращении в п-ку
выполнены Р-гр.

фиксация конечности косыночной повязкой. НПВС местно, Физиотерапия. Наблюдение хирурга.
21.05.2012 выполнены контрольные Р-гр и больная направлена на госпитализацию. Местно:
Отека нет, сосудистых и неврологических расстройств в конечности нет. движения в локтевом
суставе 10-15 гр умерено болезненные. Планируется - Открытое устранение дислокации в
суставе, резекция головки лучевой кости. Чем фиксировать сустав после операции (
гипс?АВФ?)
Сергей Дукер
----------- следущая часть -----------
Вложение в формате HTML было извлечено…
URL: http://weborto.net:8080/pipermail/ortho/attachments/20120525/39fe2ea0/attachment-0001.htm 
----------- следущая часть -----------
Вложение не в текстовом формате было извлечено…
Имя     : IMG_1409.jpg
Тип     : image/jpg
Размер  : 41172 байтов
Описание: отсутствует
Url     : http://weborto.net:8080/pipermail/ortho/attachments/20120525/39fe2ea0/attachment-0001.jpg 


Подробная информация о списке рассылки Ortho