[Ortho] Переломо-вывих в локтевом суставе

Anton Bekhterev abekhterev на gmail.com
Сб Май 26 01:15:22 YEKST 2012


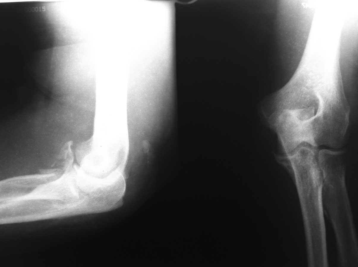
Здравствуйте Сергей. Какую дислокацию Вы планируете устранить, какие
показания для резекции головки лучевой кости и чего Вы планируете этим
добиться? На представленных снимках нет признаков нарушение конгруэнтности
суставных поверхностей. Сделайте снимок в строго боковой проекции. Больше
месяца гипсовой повязки - постиммобилизационная контрактура. Если еще
добавить фиксации - шансы на реабилитацию будут стремиться к нулю. Мое
мнение, что больная нуждается не в скальпеле, но в реабилитологе (не путать
с ФТЛ).

25 мая 2012 г., 22:05 пользователь "Сергей Дукер"
<orthoforum на weborto.net>написал:

> Пациентка 66 лет. Травма в результате падения на руку 12.04.2012. при
> обращении в п-ку
> выполнены Р-гр.
>
> фиксация конечности косыночной повязкой. НПВС местно, Физиотерапия.
> Наблюдение хирурга.
> 21.05.2012 выполнены контрольные Р-гр и больная направлена на
> госпитализацию. Местно:
> Отека нет, сосудистых и неврологических расстройств в конечности нет.
> движения в локтевом
> суставе 10-15 гр умерено болезненные. Планируется - Открытое устранение
> дислокации в
> суставе, резекция головки лучевой кости. Чем фиксировать сустав после
> операции (
> гипс?АВФ?)
> Сергей Дукер
>
> _______________________________________________
> Ortho mailing list
> Ortho на weborto.net
> http://weborto.net:8080/mailman/listinfo/ortho
>
>


-- 
С уважением, Бехтерев Антон.
----------- следущая часть -----------
Вложение в формате HTML было извлечено&hellip;
URL: http://weborto.net:8080/pipermail/ortho/attachments/20120525/f6aaa5ca/attachment-0001.htm 
----------- следущая часть -----------
Вложение не в текстовом формате было извлечено&hellip;
Имя     : отсутствует
Тип     : image/jpg
Размер  : 41172 байтов
Описание: отсутствует
Url     : http://weborto.net:8080/pipermail/ortho/attachments/20120525/f6aaa5ca/attachment-0001.jpg 


Подробная информация о списке рассылки Ortho