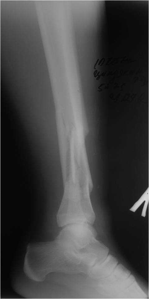
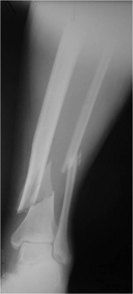
[Ortho] Деформация фиксатора после падения

"Королев Максим" orthoforum на weborto.net
Пн Ноя 5 17:45:30 YEKT 2012


первичные снимки и остальные качеством получше.
Королев Максим


----------- следущая часть -----------
Вложение в формате HTML было извлечено…
URL: http://weborto.net:8080/pipermail/ortho/attachments/20121105/5ddbb42f/attachment-0001.htm 
----------- следущая часть -----------
Вложение не в текстовом формате было извлечено…
Имя     : 123.jpg
Тип     : image/jpg
Размер  : 27956 байтов
Описание: отсутствует
Url     : http://weborto.net:8080/pipermail/ortho/attachments/20121105/5ddbb42f/attachment-0005.jpg 
----------- следущая часть -----------
Вложение не в текстовом формате было извлечено…
Имя     : lat.jpg
Тип     : image/jpg
Размер  : 31066 байтов
Описание: отсутствует
Url     : http://weborto.net:8080/pipermail/ortho/attachments/20121105/5ddbb42f/attachment-0006.jpg 
----------- следущая часть -----------
Вложение не в текстовом формате было извлечено…
Имя     : AP.jpg
Тип     : image/jpg
Размер  : 29104 байтов
Описание: отсутствует
Url     : http://weborto.net:8080/pipermail/ortho/attachments/20121105/5ddbb42f/attachment-0007.jpg 
----------- следущая часть -----------
Вложение не в текстовом формате было извлечено…
Имя     : AP2.jpg
Тип     : image/jpg
Размер  : 28998 байтов
Описание: отсутствует
Url     : http://weborto.net:8080/pipermail/ortho/attachments/20121105/5ddbb42f/attachment-0008.jpg 
----------- следущая часть -----------
Вложение не в текстовом формате было извлечено…
Имя     : 1231.jpg
Тип     : image/jpg
Размер  : 25527 байтов
Описание: отсутствует
Url     : http://weborto.net:8080/pipermail/ortho/attachments/20121105/5ddbb42f/attachment-0009.jpg 


Подробная информация о списке рассылки Ortho