[Ortho] Нет сращения через полгода после штифтования голени

"Николов Олег" orthoforum на weborto.net
Пн Ноя 12 20:51:40 YEKT 2012


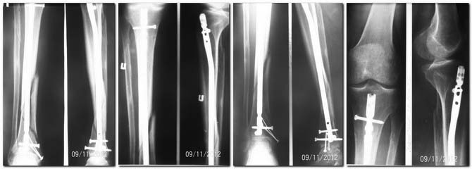
Уважаемые коллеги! Около полугода назад БИОС большеберцовой кости и синтез внутренней
лодыжки. Динамизация через 2,5 месяца. Р-граммы после синтеза, динамизации и на данный
момент. Пациенту 56 лет, соматически сохранен, послеоперационный период без осложнений,
признаков инфекции нет. Ходит с 50%-й нагрузкой, отмечается боль в зоне перелома при полной
нагрузке на оперированную конечность. Поделитель опытом, помогите определиться с
дальнейшей тактикой лечения пациента.
Николов Олег
----------- следущая часть -----------
Вложение в формате HTML было извлечено…
URL: http://weborto.net:8080/pipermail/ortho/attachments/20121112/d3395c3d/attachment-0001.htm 
----------- следущая часть -----------
Вложение не в текстовом формате было извлечено…
Имя     : МЕОФБ.jpg
Тип     : image/jpg
Размер  : 34621 байтов
Описание: отсутствует
Url     : http://weborto.net:8080/pipermail/ortho/attachments/20121112/d3395c3d/attachment-0001.jpg 


Подробная информация о списке рассылки Ortho