[Ortho] Дробовое ранение продолжение

"Иван" orthoforum на weborto.net
Ср Ноя 21 00:38:23 YEKT 2012


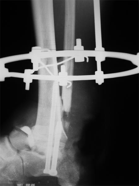
Уважаемые коллеги! Как и обещал представляю результат лечения пациента с дробовым
ранением,который обсуждался в теме http://weborto.net/forum/1350149570/index_html.
Фото содержатся во вложенном файле. Пациенту для закрытия дефекта выполнена резекция
таранной кости, пяточно-большебецовый артродез винтами. После укорочения сформировался
запас тканей, достаточный для закрытия дефекта. Далее несколько дней повязка с низким
давлением и свободная аутодермопластика. Пациент выписан. После окончательного
заживления планируем демонтировать аппарат и перейти на циркулярную повязку. Когда по
Вашему мнению следует давать нагрузку?
Иван
----------- следущая часть -----------
Вложение в формате HTML было извлечено…
URL: http://weborto.net:8080/pipermail/ortho/attachments/20121120/61a3a38c/attachment-0001.htm 
----------- следущая часть -----------
Вложение не в текстовом формате было извлечено…
Имя     : 3.jpg
Тип     : image/jpg
Размер  : 78387 байтов
Описание: отсутствует
Url     : http://weborto.net:8080/pipermail/ortho/attachments/20121120/61a3a38c/attachment-0008.jpg 
----------- следущая часть -----------
Вложение не в текстовом формате было извлечено…
Имя     : 4.jpg
Тип     : image/jpg
Размер  : 34472 байтов
Описание: отсутствует
Url     : http://weborto.net:8080/pipermail/ortho/attachments/20121120/61a3a38c/attachment-0009.jpg 
----------- следущая часть -----------
Вложение не в текстовом формате было извлечено…
Имя     : 5.jpg
Тип     : image/jpg
Размер  : 35073 байтов
Описание: отсутствует
Url     : http://weborto.net:8080/pipermail/ortho/attachments/20121120/61a3a38c/attachment-0010.jpg 
----------- следущая часть -----------
Вложение не в текстовом формате было извлечено…
Имя     : 6.jpg
Тип     : image/jpg
Размер  : 81929 байтов
Описание: отсутствует
Url     : http://weborto.net:8080/pipermail/ortho/attachments/20121120/61a3a38c/attachment-0011.jpg 
----------- следущая часть -----------
Вложение не в текстовом формате было извлечено…
Имя     : 7.jpg
Тип     : image/jpg
Размер  : 86273 байтов
Описание: отсутствует
Url     : http://weborto.net:8080/pipermail/ortho/attachments/20121120/61a3a38c/attachment-0012.jpg 
----------- следущая часть -----------
Вложение не в текстовом формате было извлечено…
Имя     : 8.jpg
Тип     : image/jpg
Размер  : 77679 байтов
Описание: отсутствует
Url     : http://weborto.net:8080/pipermail/ortho/attachments/20121120/61a3a38c/attachment-0013.jpg 
----------- следущая часть -----------
Вложение не в текстовом формате было извлечено…
Имя     : 1.jpg
Тип     : image/jpg
Размер  : 46194 байтов
Описание: отсутствует
Url     : http://weborto.net:8080/pipermail/ortho/attachments/20121120/61a3a38c/attachment-0014.jpg 
----------- следущая часть -----------
Вложение не в текстовом формате было извлечено…
Имя     : 2.jpg
Тип     : image/jpg
Размер  : 62926 байтов
Описание: отсутствует
Url     : http://weborto.net:8080/pipermail/ortho/attachments/20121120/61a3a38c/attachment-0015.jpg 


Подробная информация о списке рассылки Ortho