[Ortho] последствия травмы надколенника и остеосинтеза плечевой кости

"Иван" orthoforum на weborto.net
Ср Ноя 21 23:10:02 YEKT 2012


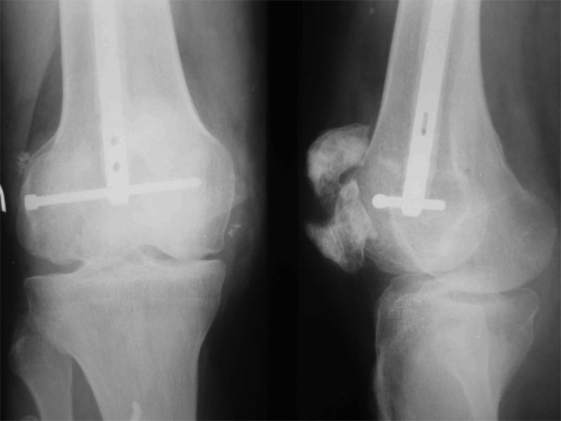
Уважаемые коллеги! Пациент получил травму около 1 года назад, выполнялся остеосинтез по поводу переломов лучевой, бедренной, плечевой костей.	
		
Обратился в связи с выраженной контрактурой в коленном суставе (сгибание 10-15 град)и практически отсуствием самостоятельного отведения плеча. Снимки представлены. Планируем выполнить реостеосинтез плеча (скорее всего этим же стержнем, так как другого нет) с коррекцией положения отломков в проксимальном отделе и сближением отломков в области диафиза. 
По надколеннику пока одна идея - его удаление.
Хотелось бы услышать мнение и советы участников форума.
- необходима ли будет костная пластика в области диафиза плеча?
- адекватен ли по Вашему мнению реостеосинтез стержнем?
- какая тактика в отношении ротационной манжеты?
- приведет ли удаление надколенника и релиз сустава к существенному улучшению функции? 
Спасибо.
Иван
----------- следущая часть -----------
Вложение в формате HTML было извлечено…
URL: http://weborto.net:8080/pipermail/ortho/attachments/20121121/86548e63/attachment-0001.htm 
----------- следущая часть -----------
Вложение не в текстовом формате было извлечено…
Имя     : 1.jpg
Тип     : image/jpg
Размер  : 40755 байтов
Описание: отсутствует
Url     : http://weborto.net:8080/pipermail/ortho/attachments/20121121/86548e63/attachment-0003.jpg 
----------- следущая часть -----------
Вложение не в текстовом формате было извлечено…
Имя     : 3.jpg
Тип     : image/jpg
Размер  : 21595 байтов
Описание: отсутствует
Url     : http://weborto.net:8080/pipermail/ortho/attachments/20121121/86548e63/attachment-0004.jpg 
----------- следущая часть -----------
Вложение не в текстовом формате было извлечено…
Имя     : 2.jpg
Тип     : image/jpg
Размер  : 28442 байтов
Описание: отсутствует
Url     : http://weborto.net:8080/pipermail/ortho/attachments/20121121/86548e63/attachment-0005.jpg 


Подробная информация о списке рассылки Ortho