[Ortho] Перелом стержня на ранних сроках, бедро. Что делать?

"Алан Цаллагов" orthoforum на weborto.net
Ср Ноя 21 23:17:51 YEKT 2012


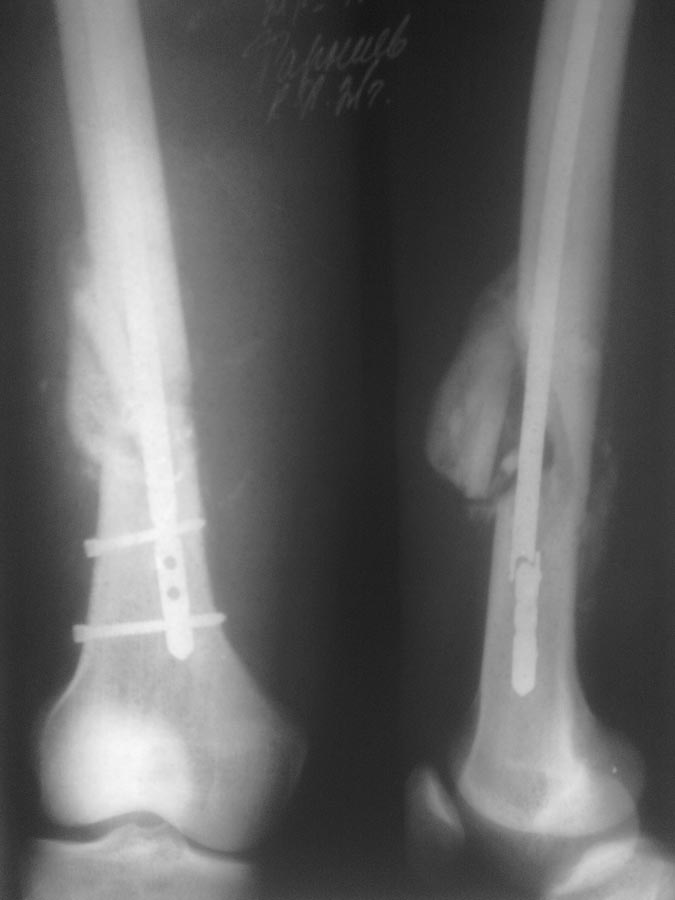
Пациенту ровно полтора месяца назад проводилось оперативное лечение оскольчатого перелома н/3 бедренной кости БИОС. 

Гвоздь № 9. Антеградно. Место перелома не открывалось. Возраст пациента 21г. Со слов нагрузку давал не более 30 проц. от веса тела с четвертой недели. На 45 день гвоздь ломается, неосторожно перевернулся в кровати. Вопрос: что делать? Заранее спасибо!
Алан Цаллагов
РКБ г. Владикавказ
----------- гЬХФенСб оСгди -----------
Вложение в формате HTML было извлечено…
URL: http://weborto.net:8080/pipermail/ortho/attachments/20121121/ab94f4e4/attachment-0001.htm 
----------- гЬХФенСб оСгди -----------
Вложение не в текстовом формате было извлечено…
Имя     : лЯБН0237.jpg
Тип     : image/jpg
Размер  : 44649 байтов
Описание: отсутствует
Url     : http://weborto.net:8080/pipermail/ortho/attachments/20121121/ab94f4e4/attachment-0001.jpg 


Подробная информация о списке рассылки Ortho