[Ortho] , . ?

Alexey Semenisty salut.13 gmail.com
22 10:37:11 YEKT 2012


1.  Не использовать на бедре гвозди диаметром 9 мм
2. Не использовать штифты этого и других сомнительных производителей на
людях.
3. Удалить проксимальные, дистальные винты и проксимальный отломок гвоздя.
4. Рассверлить канал до уровня перелома до 13-14 мм.
5. Дистальный отломок гвоздя не трогать.
6.Перелом не открывать.
7. Заштифтовать гвоздем (см. пункт 2) диаметром 12-13 мм.
8. Заблокировать статически по два винта сверху и снизу.
9. Разрешить раннюю полную нагрузку.
-- 
С уважением, А.Семенистый.
ГКБ № 13, Москва.

P.S. Вернуть пациенту деньги.

21 ноября 2012 г., 21:28 пользователь "Алан Цаллагов" <
orthoforum  weborto.net> написал:

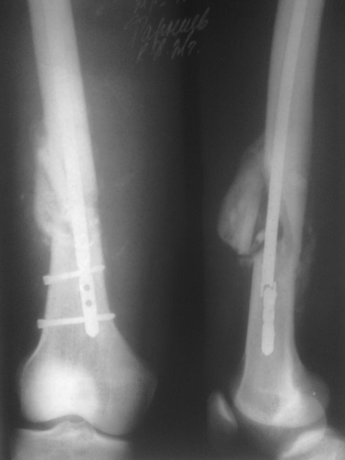
> Пациенту ровно полтора месяца назад проводилось оперативное лечение
> оскольчатого перелома н/3 бедренной кости БИОС.
>
> Гвоздь № 9. Антеградно. Место перелома не открывалось. Возраст пациента
> 21г. Со слов нагрузку давал не более 30 проц. от веса тела с четвертой
> недели. На 45 день гвоздь ломается, неосторожно перевернулся в кровати.
> Вопрос: что делать? Заранее спасибо!
> Алан Цаллагов
> РКБ г. Владикавказ
>
> _______________________________________________
> Ortho mailing list
> Ortho  weborto.net
> http://weborto.net:8080/mailman/listinfo/ortho
>
>


-- 
С уважением, А.Семенистый.
ГКБ № 13, Москва.
-----------   -----------
Вложение в формате HTML было извлечено&hellip;
URL: http://weborto.net:8080/pipermail/ortho/attachments/20121122/397207da/attachment-0001.htm 
-----------   -----------
Вложение не в текстовом формате было извлечено&hellip;
Имя     : отсутствует
Тип     : image/jpg
Размер  : 44649 байтов
Описание: отсутствует
Url     : http://weborto.net:8080/pipermail/ortho/attachments/20121122/397207da/attachment-0001.jpg 


Ortho