[Ortho] Несращение после БИОС голени 11 мес.

"Алан Цаллагов " orthoforum на weborto.net
Чт Ноя 22 19:00:54 YEKT 2012


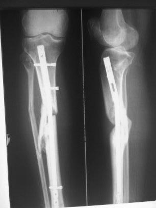
Пациентка 37 лет. Лечилась оперативно по поводу оскольчатого перелома обеих костей правой
голени, произведено БИОС, гвоздь 9. Через 2 мес. произведена динамизация, ходила с полной нагрузкой на
конечность. Место перелома не открывалось. Через 11 мес несращение. Больная жалоб никаких
не предъявляет. Ходит без дополнительных средств опоры, почти не хромает. Что делать? Заранее спасибо!


Алан Цаллагов
----------- следущая часть -----------
Вложение в формате HTML было извлечено…
URL: http://weborto.net:8080/pipermail/ortho/attachments/20121122/58d1f1c9/attachment-0001.htm 
----------- следущая часть -----------
Вложение не в текстовом формате было извлечено…
Имя     : ЗПМЕОШ.jpg
Тип     : image/jpg
Размер  : 25417 байтов
Описание: отсутствует
Url     : http://weborto.net:8080/pipermail/ortho/attachments/20121122/58d1f1c9/attachment-0001.jpg 


Подробная информация о списке рассылки Ortho