[Ortho] Проблемы с коленным суставом после БИОС

"Михаил" orthoforum на weborto.net
Пт Ноя 23 01:35:43 YEKT 2012


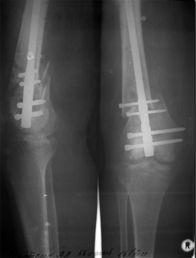
Уважаемые коллеги, доброго времени суток! Разрешите представить Вам следующий случай.
Пациент С., 55 л, получил открытый сегментарный перелом бедренной кости 24.07.12 в
результате столкновения скутера с автомобилем (упал со скутера). Доставлен в наше
отделение. В экстренном порядке- наложение стержневого АВФ, ПХО раны. После ее
заживления,17.08.12- ретроградный БИОС универсальным бедренным штифтом ChM.
Блокирующие винты перепроведены 05.09.12 (у оператора не хватило опыта-не попал в
отверстия). Выписан 28.09.12. В настоящий момент беспокоят боли в коленном суставе, отек
всей конечности, отсутствие полного объема движений в суставе, субфебрилитет. Ходит на
костылях с нагрузкой примерно 15 % массы тела, увеличить нагрузку мешает боль. Местная
температура не повышена, в полости сустава жидкости нет.Результаты анализов-СОЭ, СРБ пока
неизвестны. Что делать?
Михаил
----------- следущая часть -----------
Вложение в формате HTML было извлечено…
URL: http://weborto.net:8080/pipermail/ortho/attachments/20121122/e62b8d29/attachment-0001.htm 
----------- следущая часть -----------
Вложение не в текстовом формате было извлечено…
Имя     : 2.jpg
Тип     : image/jpg
Размер  : 30304 байтов
Описание: отсутствует
Url     : http://weborto.net:8080/pipermail/ortho/attachments/20121122/e62b8d29/attachment-0005.jpg 
----------- следущая часть -----------
Вложение не в текстовом формате было извлечено…
Имя     : 4.jpg
Тип     : image/jpg
Размер  : 44682 байтов
Описание: отсутствует
Url     : http://weborto.net:8080/pipermail/ortho/attachments/20121122/e62b8d29/attachment-0006.jpg 
----------- следущая часть -----------
Вложение не в текстовом формате было извлечено…
Имя     : 1.jpg
Тип     : image/jpg
Размер  : 57288 байтов
Описание: отсутствует
Url     : http://weborto.net:8080/pipermail/ortho/attachments/20121122/e62b8d29/attachment-0007.jpg 
----------- следущая часть -----------
Вложение не в текстовом формате было извлечено…
Имя     : 3.jpg
Тип     : image/jpg
Размер  : 34811 байтов
Описание: отсутствует
Url     : http://weborto.net:8080/pipermail/ortho/attachments/20121122/e62b8d29/attachment-0008.jpg 
----------- следущая часть -----------
Вложение не в текстовом формате было извлечено…
Имя     : 5.jpg
Тип     : image/jpg
Размер  : 47436 байтов
Описание: отсутствует
Url     : http://weborto.net:8080/pipermail/ortho/attachments/20121122/e62b8d29/attachment-0009.jpg 


Подробная информация о списке рассылки Ortho