[Ortho] последствия травмы надколенника и остеосинтеза плечевой кости

"Бережной Сергей" orthoforum на weborto.net
Сб Ноя 24 22:46:10 YEKT 2012


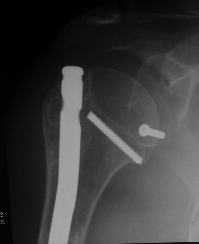
Как бы автор вопроса не убеждал себя, что в ситуации с гвоздем (его длиной, расположением относительно манжеты и бугорков и т.д.) все ясно, при таком качестве представленных рентгенограмм в единственной проекции никакой ясности быть не может.
В качестве примера - случай, который оперировал всего 2 недели назад, после похожего остеосинтеза, выполненного год назад. Пациентке 75 лет, тяжелый РА, легла для решения вопроса о ревизии тазобедренного сустава и заодно пожаловалась на то, что рука "крутиться" сама по себе, не поднимается. И болит, конечно. И посмотрите на разницу в информации на снимках головки плеча в двух противоположных проекциях. Даже комментировать ничего не нужно.   
Бережной Сергей
----------- следущая часть -----------
Вложение в формате HTML было извлечено…
URL: http://weborto.net:8080/pipermail/ortho/attachments/20121124/b9a9d38e/attachment-0001.html 
----------- следущая часть -----------
Вложение не в текстовом формате было извлечено…
Имя     : 4.jpg
Тип     : image/jpg
Размер  : 37440 байтов
Описание: отсутствует
Url     : http://weborto.net:8080/pipermail/ortho/attachments/20121124/b9a9d38e/attachment-0004.jpg 
----------- следущая часть -----------
Вложение не в текстовом формате было извлечено…
Имя     : 3.jpg
Тип     : image/jpg
Размер  : 31050 байтов
Описание: отсутствует
Url     : http://weborto.net:8080/pipermail/ortho/attachments/20121124/b9a9d38e/attachment-0005.jpg 
----------- следущая часть -----------
Вложение не в текстовом формате было извлечено…
Имя     : 2.jpg
Тип     : image/jpg
Размер  : 30594 байтов
Описание: отсутствует
Url     : http://weborto.net:8080/pipermail/ortho/attachments/20121124/b9a9d38e/attachment-0006.jpg 
----------- следущая часть -----------
Вложение не в текстовом формате было извлечено…
Имя     : 1.jpg
Тип     : image/jpg
Размер  : 31325 байтов
Описание: отсутствует
Url     : http://weborto.net:8080/pipermail/ortho/attachments/20121124/b9a9d38e/attachment-0007.jpg 


Подробная информация о списке рассылки Ortho