[Ortho] Перелом штифта

"Сергей" orthoforum на weborto.net
Пн Ноя 26 09:28:33 YEKT 2012


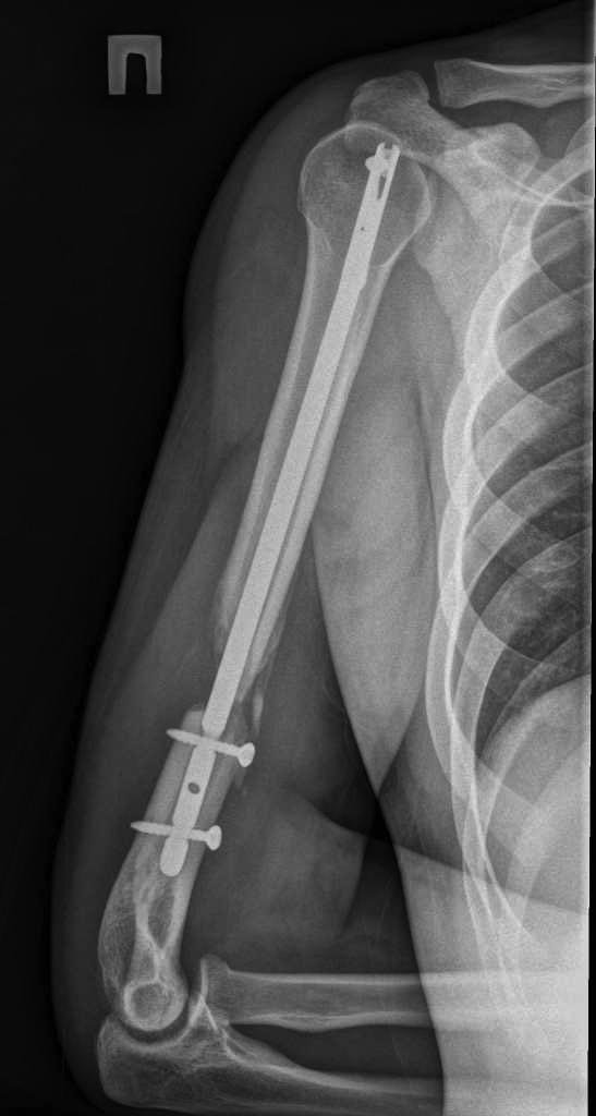
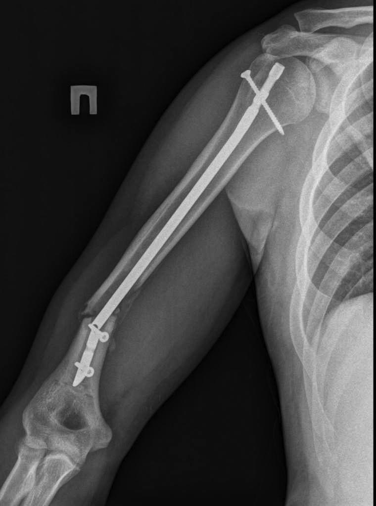
Здравствуйте уважаемые форумчане. Представляю Вашему вниманию очередной сломанный
штифт. Пациент 25 лет, в сентябре 2012 г ДТП. Кроме всего прочего, открытый перелом правого
плеча с дефектом костной ткани. При поступлении выполнено ПХО и ЧКО из 2 колец. После
заживления раны выполнен БИОС плеча. Штифт сОлидный, Остеомед. Пару дней назад во время
попытки открытия крышки банки (нагрузка по ротации) почувствовал боль в плече. Результат на
снимке. Планируем удалить оба отломка (дистальный открыто) и перештифтовать более
массивным штифтом. Вопрос 1: есть ли вариант в данном случае закрыто удалить дистальный
франгмент НЕканюлированного штифта. Особых инструментов для удаления сломаных штифтов не
имеем. Вопрос 2: как вариант рассматриваем выполнить ЧКО удалив предварительно только
проксимальный фрагмент штифта. СтОит ли? Вариант накостного остеосинтеза с пластикой и без
не рассматриваем. Спасибо за внимание.
Сергей
----------- следущая часть -----------
Вложение в формате HTML было извлечено…
URL: http://weborto.net:8080/pipermail/ortho/attachments/20121126/7b6115b0/attachment-0001.htm 
----------- следущая часть -----------
Вложение не в текстовом формате было извлечено…
Имя     : 2.jpg
Тип     : image/jpg
Размер  : 57777 байтов
Описание: отсутствует
Url     : http://weborto.net:8080/pipermail/ortho/attachments/20121126/7b6115b0/attachment-0002.jpg 
----------- следущая часть -----------
Вложение не в текстовом формате было извлечено…
Имя     : 1.jpg
Тип     : image/jpg
Размер  : 48719 байтов
Описание: отсутствует
Url     : http://weborto.net:8080/pipermail/ortho/attachments/20121126/7b6115b0/attachment-0003.jpg 


Подробная информация о списке рассылки Ortho