[Ortho] Перелом стержня на ранних сроках, бедро. Что делать?

Vsevolod Kalenskiy vsevolod.kalenskiy на gmail.com
Пн Ноя 26 22:59:09 YEKT 2012


После удаления, пожалуй, реостеосинтез антеградным толстым длинным штифтом
с рассверливанием с блокированием в дистальном отломке как во фронтальной,
так и в сагиттальной плоскости.

Но самым интересным, похоже, в этой истории будет удаление...

21 ноября 2012 г., 21:28 пользователь "Алан Цаллагов" <
orthoforum на weborto.net> написал:

> Пациенту ровно полтора месяца назад проводилось оперативное лечение
> оскольчатого перелома н/3 бедренной кости БИОС.
>
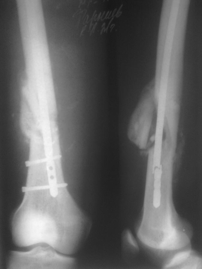
> Гвоздь No. 9. Антеградно. Место перелома не открывалось. Возраст пациента
> 21г. Со слов нагрузку давал не более 30 проц. от веса тела с четвертой
> недели. На 45 день гвоздь ломается, неосторожно перевернулся в кровати.
> Вопрос: что делать? Заранее спасибо!
> Алан Цаллагов
> РКБ г. Владикавказ
>
> _______________________________________________
> Ortho mailing list
> Ortho на weborto.net
> http://weborto.net:8080/mailman/listinfo/ortho
>
>


-- 
Всеволод Каленский
НИИ Скорой Помощи им.Н.В.Склифосовского
Отделение сочетанной и множественной травмы
129010 Москва, Большая Сухаревская пл. д.3
Тел: +7 926 784 66 13

Vsevolod Kalenskiy
Sklifosovsky Clinical and Research Institute for Emergency Care
Polytrauma Department
3, Bolshaya Sukharevskay sq.
Moscow, 129010 Russia
tel: +7 926 784 66 13
----------- следущая часть -----------
Вложение в формате HTML было извлечено&hellip;
URL: http://weborto.net:8080/pipermail/ortho/attachments/20121126/76e65fc2/attachment-0001.html 
----------- следущая часть -----------
Вложение не в текстовом формате было извлечено&hellip;
Имя     : отсутствует
Тип     : image/jpg
Размер  : 44649 байтов
Описание: отсутствует
Url     : http://weborto.net:8080/pipermail/ortho/attachments/20121126/76e65fc2/attachment-0001.jpg 


Подробная информация о списке рассылки Ortho