[Ortho] Перелом штифта

Anton Bekhterev abekhterev на gmail.com
Вт Ноя 27 11:22:39 YEKT 2012


Удалить дистальный фрагмент можно и из ретроградного доступа, протолкнув
сверху. Но такая "закрытость" может лорого стоить в плане травматичности.
Вы потребовали не обсуждать открытые варианты стабилизации - жаль что
тем-самым ограничили себя в выборе лечения. Сомневаюсь, что более толстый и
длинный гвоздь решит проблему дефекта задне-медиального кортекса.

С уважением, Бехтерев Антон
27.11.2012 10:02 пользователь Сергей <orthoforum на weborto.net> написал:

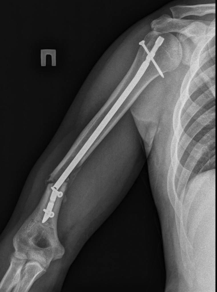
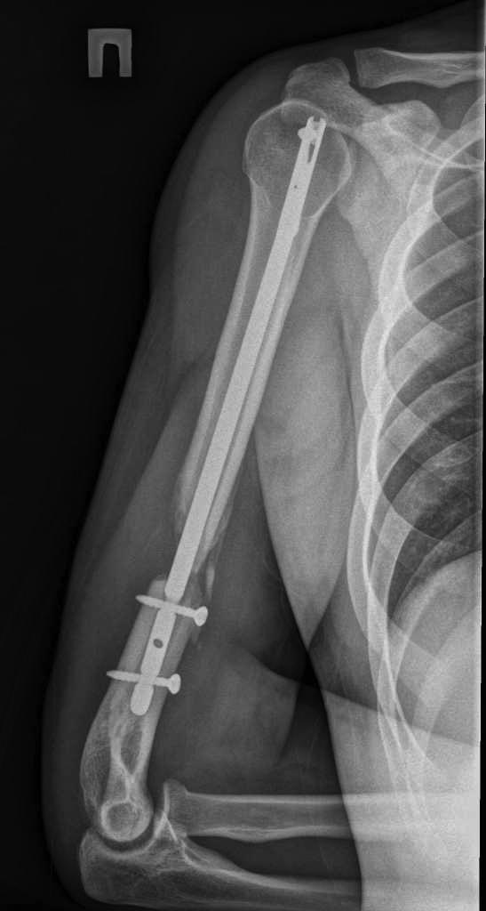
> Здравствуйте уважаемые форумчане. Представляю Вашему вниманию очередной
> сломанный
> штифт. Пациент 25 лет, в сентябре 2012 г ДТП. Кроме всего прочего,
> открытый перелом правого
> плеча с дефектом костной ткани. При поступлении выполнено ПХО и ЧКО из 2
> колец. После
> заживления раны выполнен БИОС плеча. Штифт сОлидный, Остеомед. Пару дней
> назад во время
> попытки открытия крышки банки (нагрузка по ротации) почувствовал боль в
> плече. Результат на
> снимке. Планируем удалить оба отломка (дистальный открыто) и
> перештифтовать более
> массивным штифтом. Вопрос 1: есть ли вариант в данном случае закрыто
> удалить дистальный
> франгмент НЕканюлированного штифта. Особых инструментов для удаления
> сломаных штифтов не
> имеем. Вопрос 2: как вариант рассматриваем выполнить ЧКО удалив
> предварительно только
> проксимальный фрагмент штифта. СтОит ли? Вариант накостного остеосинтеза с
> пластикой и без
> не рассматриваем. Спасибо за внимание.
> Сергей
>
> _______________________________________________
> Ortho mailing list
> Ortho на weborto.net
> http://weborto.net:8080/mailman/listinfo/ortho
>
>
----------- следущая часть -----------
Вложение в формате HTML было извлечено&hellip;
URL: http://weborto.net:8080/pipermail/ortho/attachments/20121127/00473f9b/attachment-0001.html 
----------- следущая часть -----------
Вложение не в текстовом формате было извлечено&hellip;
Имя     : отсутствует
Тип     : image/jpg
Размер  : 48719 байтов
Описание: отсутствует
Url     : http://weborto.net:8080/pipermail/ortho/attachments/20121127/00473f9b/attachment-0002.jpg 
----------- следущая часть -----------
Вложение не в текстовом формате было извлечено&hellip;
Имя     : отсутствует
Тип     : image/jpg
Размер  : 57777 байтов
Описание: отсутствует
Url     : http://weborto.net:8080/pipermail/ortho/attachments/20121127/00473f9b/attachment-0003.jpg 


Подробная информация о списке рассылки Ortho