[Ortho] Hallux Valgus (оперированный)

Maxim Agalakov orthoforum на weborto.net
Чт Ноя 29 10:28:51 YEKT 2012


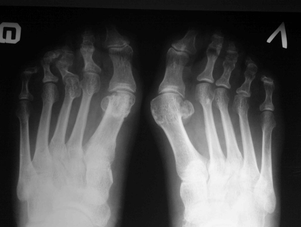
Уважаемые коллеги, обратилась пациентка 55 лет, оперированная около 3-х лет назад в одном из медицинских центров.	
		
Операция, видимо, Logroscino справа, похоже, что с аваскуляром головки. Жалоб на первый луч особо не предьявляет, основное беспокойство - молоткообразные 2-3 пальцы, выраженная боль при ходьбе в проекции головок 2-3 плюсневых, омозолелость по подошвенной поверхности. Что на ваш взгляд целесообразно предпринять в данном случае:1.резекция головок с/ф с фиксацией спицей, возможно с Z- пластикой сухожилий разг.?
2. Weil 2-3?
3 резекция головок 2-3 плюсневых?
4. другие комбинации или что-либо другое?
5 нужно ли вмешиваться на первом луче?
Сожалею, но других фото в ближайшее время не будетPS Левая стопа недавно оперирована у нас (SCARF), пациентка довольна

Maxim Agalakov
----------- следущая часть -----------
Вложение в формате HTML было извлечено…
URL: http://weborto.net:8080/pipermail/ortho/attachments/20121129/f224ea98/attachment.html 
----------- следущая часть -----------
Вложение не в текстовом формате было извлечено…
Имя     : 2012-11-27-429.jpg
Тип     : image/jpg
Размер  : 78917 байтов
Описание: отсутствует
Url     : http://weborto.net:8080/pipermail/ortho/attachments/20121129/f224ea98/attachment-0003.jpg 
----------- следущая часть -----------
Вложение не в текстовом формате было извлечено…
Имя     : 2012-11-27-430.jpg
Тип     : image/jpg
Размер  : 74837 байтов
Описание: отсутствует
Url     : http://weborto.net:8080/pipermail/ortho/attachments/20121129/f224ea98/attachment-0004.jpg 
----------- следущая часть -----------
Вложение не в текстовом формате было извлечено…
Имя     : 2012-11-27-431.jpg
Тип     : image/jpg
Размер  : 76888 байтов
Описание: отсутствует
Url     : http://weborto.net:8080/pipermail/ortho/attachments/20121129/f224ea98/attachment-0005.jpg 


Подробная информация о списке рассылки Ortho