[Ortho] Перелом штифта

"Сергей" orthoforum на weborto.net
Чт Ноя 29 10:32:02 YEKT 2012


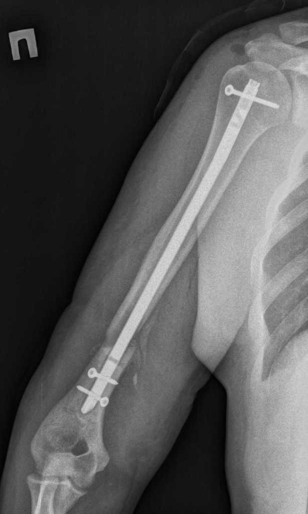
Здравствуйте. Открыто удалили дистальный фрагмент. После рассверливания заштифтовали более массивным штифтом. Спасибо за участие в обсуждении случая.
Сергей
----------- следущая часть -----------
Вложение в формате HTML было извлечено…
URL: http://weborto.net:8080/pipermail/ortho/attachments/20121129/c64eaa94/attachment-0001.htm 
----------- следущая часть -----------
Вложение не в текстовом формате было извлечено…
Имя     : Koval'chuk^A.V.00000.jpg
Тип     : image/jpg
Размер  : 39394 байтов
Описание: отсутствует
Url     : http://weborto.net:8080/pipermail/ortho/attachments/20121129/c64eaa94/attachment-0002.jpg 
----------- следущая часть -----------
Вложение не в текстовом формате было извлечено…
Имя     : Koval'chuk^A.V.00001.jpg
Тип     : image/jpg
Размер  : 35885 байтов
Описание: отсутствует
Url     : http://weborto.net:8080/pipermail/ortho/attachments/20121129/c64eaa94/attachment-0003.jpg 


Подробная информация о списке рассылки Ortho