[Ortho] Формирующийся ложный сустав лучевой кости

"Антон Андрианов" orthoforum на weborto.net
Чт Ноя 29 10:46:50 YEKT 2012


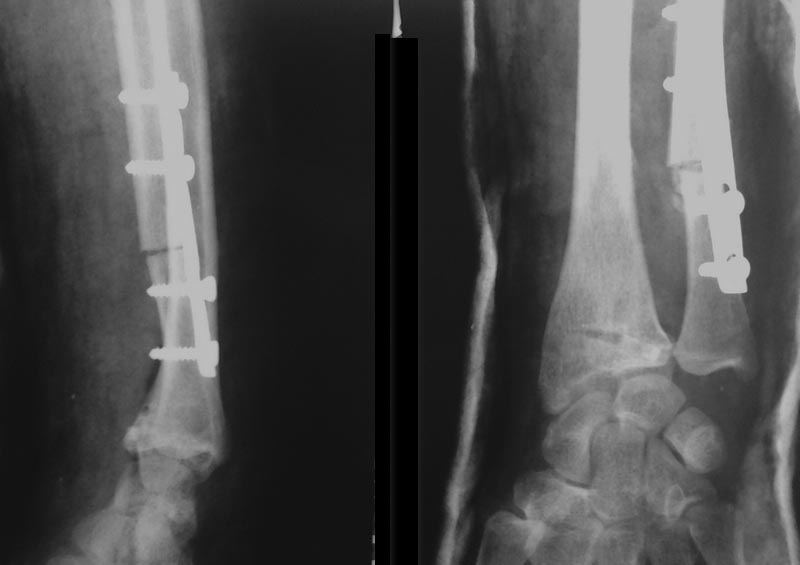
 Мы для оценки луче-локтевого соотношения делаем снимок контрлатеральной конечности, можно простой оценкой определить объем резекции, можно и схему на кальке сотворить. Главное больше нужного не выбрать.Остеотомию выполняем осциллирующей пилой, можно и остеотомом с предварительным насверливанием тонким сверлом во избежание раскола.Укорочение локтевой кости способно устранить локтевой импинджмент синдром\Ulnar Impaction Syndrome\, который причиняет больше проблем пациенткам, чем косметический дискомфорт.В приложении послеоперационный снимок.
Антон Андрианов
----------- следущая часть -----------
Вложение в формате HTML было извлечено…
URL: http://weborto.net:8080/pipermail/ortho/attachments/20121129/84bb081f/attachment-0001.htm 
----------- следущая часть -----------
Вложение не в текстовом формате было извлечено…
Имя     : RADIUS1a.jpg
Тип     : image/jpg
Размер  : 42345 байтов
Описание: отсутствует
Url     : http://weborto.net:8080/pipermail/ortho/attachments/20121129/84bb081f/attachment-0001.jpg 


Подробная информация о списке рассылки Ortho