[Ortho] Hallux Valgus (оперированный)

"Бережной Сергей" orthoforum на weborto.net
Чт Ноя 29 22:22:35 YEKT 2012


- Операция, видимо, Logroscino -

Логрошино вряд ли, она чаще к удлинению 1 плюсневой приводит, а тут укорочение. Чем и объясняется переходная метатарсалгия.

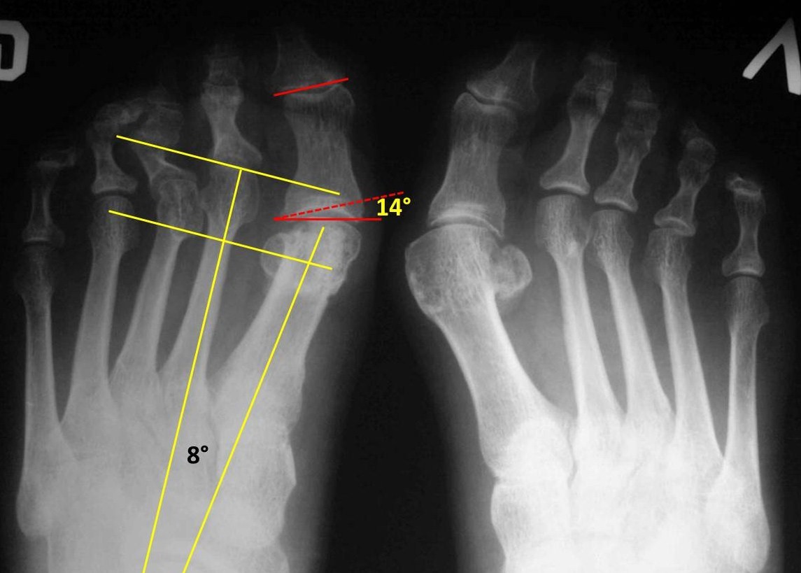
С первой плюсневой тут делать ничего не нужно, первый межплюсневый угол всего 8гр. (основные показатели отмечены схематично на рентгенограмме). Но имеется hallux valgus interphalangeus: угол между дистальной и проксимальной суставными площадками основной фаланги 14гр. Его лучше устранить с помощью остеотомии Akin, чтобы первый палец не мешал стать на место второму. Преобладание длин 2 и 3 плюсневых объясняет перегрузку их головок. 4-я плюсневая даже короче, чем могла бы быть относительно первой (перпендикуляр к оси 2 плюсневой, проведенный через середину латеральной сесамовидной кости, в норме должен пройти через середину головки 4 плюсневой. А он проходит выше). Получается, что вмешиваться нужно на 1 луче (дистальный Akin) и на втором с третьим. Задачи, которые тут нужно решить: укорочение 2 и 3 плюсневых (Weil, фиксированный или нет - на Ваш вкус) и устранение молоткообразной деформации 2-3 пальцев. Если она нефиксированная, то достаточным может оказаться подкожной тенотомии разгибателей на уровне плюснефаланговых суставов. Без всякой Z-пластики. А если деформация фиксированная или полуригидная, тогда на Ваш выбор: остеотомия основных фаланг или (хуже) резекция их оснований. Или еще что-нибудь.

PS. А почему заодно свой Scarf  не продемонстрировали? И как решили на левой стопе проблему hallux valgus interphalangeus? 
Бережной Сергей
----------- следущая часть -----------
Вложение в формате HTML было извлечено…
URL: http://weborto.net:8080/pipermail/ortho/attachments/20121129/5b95651b/attachment-0001.htm 
----------- следущая часть -----------
Вложение не в текстовом формате было извлечено…
Имя     : image001.jpg
Тип     : image/jpg
Размер  : 127715 байтов
Описание: отсутствует
Url     : http://weborto.net:8080/pipermail/ortho/attachments/20121129/5b95651b/attachment-0001.jpg 


Подробная информация о списке рассылки Ortho