[Ortho] Импрессионный перелом головки бедренной кости

"Евгений Данилов " orthoforum на weborto.net
Пт Ноя 30 02:16:09 YEKT 2012


Доброго времени суток. Предлагаю к обсуждению случай с пациентом 51 года с переломом в
передне-верхней зоне головки бедренной кости. С2.2

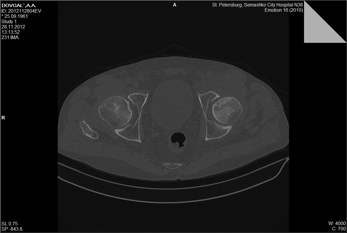
Мужчина, 51, направлен из травмпункта в наше ЛПУ с диагнозом " ушиб левого тазобедренного
сустава". Со слов пострадавшего - 2 недели до поступления поскользнулся,упал с упором на
левое колено. После чего появились боли в области левого тазобдренного сустава, боль при
ходьбе, хромота, боль по передней поверхности тазобедренного сустава и в паху, боль
усиливалась при осевой нагрузке, беспокоила в положении на спине, и на пострадавшем боку.
Боль купировалась при сгибании в тазобедренном и коленном суставе в положении на спине. На
стандартных рентгенограммах тазобедренного сустава патологии не
выявлено.Госпитализирован в отделение с подозоением на импрессионный перелом головки
бедренной кости Выполена компьютерная томография левого тазобедренного сустава,
выявлено повреждение головки бедренной кости со вдавлением по передне-верхеней
поверхности. На данный момент больному рекомендована разгрузка, ходьба без опоры на
костылях до туалета, в остальном постельный режим. На обсуждение выносится ваш взгляд на
дальнейшую тактику ведения больного, ваши наблюдения и предложения. В отделении мы
рассматриваем следующие варианты: 

1. Консервативное лечение с длительной разгрузкой,
приемом хондропротекторов, сосудистых препаратов и т.д. 

2. Возможность проведения ротационной остеотомии( есть небольшой опыт)
Евгений Данилов
Спб ГБ №38 Пушкин
----------- следущая часть -----------
Вложение в формате HTML было извлечено…
URL: http://weborto.net:8080/pipermail/ortho/attachments/20121129/cba73e46/attachment-0001.htm 
----------- следущая часть -----------
Вложение не в текстовом формате было извлечено…
Имя     : 00B7B1C5.jpg
Тип     : image/jpg
Размер  : 96724 байтов
Описание: отсутствует
Url     : http://weborto.net:8080/pipermail/ortho/attachments/20121129/cba73e46/attachment-0001.jpg 


Подробная информация о списке рассылки Ortho