[Ortho] анкилоз локтевого сустава

Evgueny Tchekashkine evgueny на iway.na
Пн Окт 1 03:17:52 YEKST 2012


Resectiya exostosov, vpravlenie viviha golovki, plastika annularnoi svyazki. Resektiya golovki luchevoi kosti chrevata problemami v distalnom radio-ulnarnom sochlenenii. Zachem sozdavat bolnomu novie problemi?
Vpolne vozmozhno, chto pridetsa delat i postero-lateral/medial capsular release. Immobilizatsiya v polozhenii sgibaniya 90 gradusov. Po stihanii posleoperatsionnih bolei nachinat s physioterapiei so smennimi longetami v polozhenii sgibaniya/razgibaniya.
Esli est vozmohnost, to kontrol boli vvedeniem anaesthika po kateteru blokiruya plechevoe spletenie.
Uspehov,
Otpravte na forum resultat ,

Evgueny Tchekashkine
  ----- Original Message ----- 
  From: "Pavel Volykov (ЦКБ №1 ОАО РЖД)" 
  To: alex на weborto.net 
  Sent: Thursday, September 27, 2012 7:31 PM
  Subject: [Ortho] анкилоз локтевого сустава


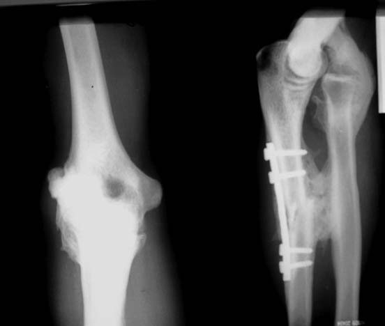
  Добрый день. Интересно ваше мнение, уважаемые коллеги.

  Мужчина 27 лет, травма год назад - удар по предплечью электропоездом.В ЦРБ - остеосинтез
  локтевой кости, вероятно - открытое вправление вывиха головки лучевой кости (выписки нет,
  но пациент говорит, что были металлические спицы и есть п/операционный рубец в проекции
  головки лучевой кости). В настоящее время: движения в локтевом суставе отсутствуют.
  предплечье находится в положении сгибания 160*. Хочется услышать мнения об объеме
  оперативного вмешательства, во сколько этапов его проводить.
  Pavel Volykov (ЦКБ №1 ОАО РЖД)



------------------------------------------------------------------------------


  _______________________________________________
  Ortho mailing list
  Ortho на weborto.net
  http://weborto.net:8080/mailman/listinfo/ortho
----------- следущая часть -----------
Вложение в формате HTML было извлечено…
URL: http://weborto.net:8080/pipermail/ortho/attachments/20120930/44d5ee25/attachment-0001.htm 
----------- следущая часть -----------
Вложение не в текстовом формате было извлечено…
Имя     : отсутствует
Тип     : image/jpg
Размер  : 25926 байтов
Описание: отсутствует
Url     : http://weborto.net:8080/pipermail/ortho/attachments/20120930/44d5ee25/attachment-0001.jpg 


Подробная информация о списке рассылки Ortho