[Ortho] подвывих стопы

"гена" orthoforum на weborto.net
Ср Окт 17 12:17:36 YEKST 2012


нужна ли операция?

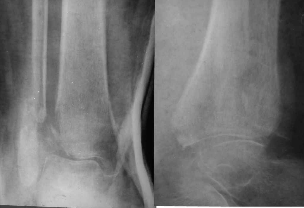
1955г.р. Травма 8.07.2012г. перелом открытый. На данный момент: Рана заживлена но стояние
отломков неудовлетворительное, подвывих сохраняется. Больная устала от лечения. Требует
скорейшей нагрузки на ногу. Колеги рекомендуют оставить так. Посоветуйте: нужна ли
операция? В каком объеме? Какие прогнозы при разных видах лечения?
гена
----------- следущая часть -----------
Вложение в формате HTML было извлечено…
URL: http://weborto.net:8080/pipermail/ortho/attachments/20121017/0b525245/attachment-0001.htm 
----------- следущая часть -----------
Вложение не в текстовом формате было извлечено…
Имя     : 0.jpg
Тип     : image/jpg
Размер  : 24731 байтов
Описание: отсутствует
Url     : http://weborto.net:8080/pipermail/ortho/attachments/20121017/0b525245/attachment-0001.jpg 


Подробная информация о списке рассылки Ortho