[Ortho] Эдопротезирование тазобедренного сустава

"Андрей" orthoforum на weborto.net
Ср Окт 24 00:05:06 YEKST 2012


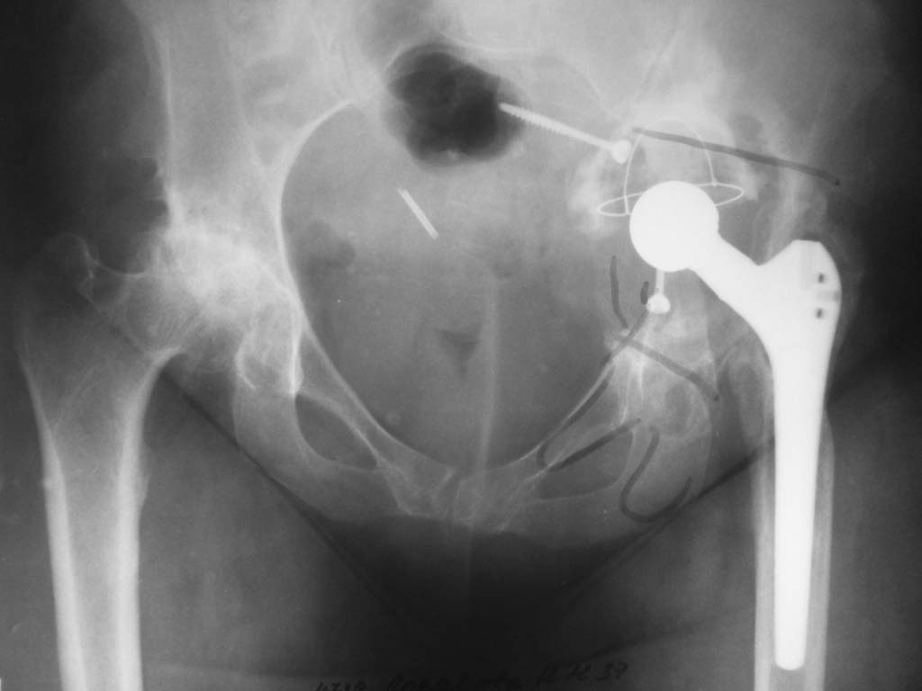
Здравствуйте коллеги! В 2006 г. была оперирована молодая пациентка: Дисплазия, коксартроз
(фото 1). Выполнели аутопластику крыши вертлужной впадины, использовав резецированную
часть бедра, гибридное эндопротезирование WL BetaCone (фото 2,3). В течение, почти 6 лет,
больная была счастлива. В 2012 г пришла при помощи костылей, с катастрофической картиной
(фото 4). Беспокоят боли, нарушение функции и пр. Местно:небольшой отёк, гиперпигментация
по наружной поверхости бедра, в крови высокое СОЭ, температура N. На УЗИ и пункционно - пока
ничего нет. Наши технические возможности не позволяют выполнить ревизионное
эндопротезирование,т.к. часть таза лизирована. Направил на консультацию в два НИИТО.
Специалисты согласны, что надо делать ревизию (в два этапа), но в тоже время отсылают больную
обратно: "иди туда где делали". Предложил пациентке убрать эндопротез. Отказ,
мотивированный тем, а что я буду делать дальше?

Как можно помочь? Для неё имеется квота.
Думаю, что необходимо выполнять эндопротезирование тазового компонента индивидуальным
имплантом.Какие будут Ваши предложения коллеги?


Андрей
----------- следущая часть -----------
Вложение не в текстовом формате было извлечено…
Имя     : 4.JPG
Тип     : image/jpg
Размер  : 51221 байтов
Описание: отсутствует
Url     : http://weborto.net:8080/pipermail/ortho/attachments/20121023/f721d243/attachment-0001.jpg 


Подробная информация о списке рассылки Ortho