[Ortho] Перелом стержня

"Смирнров Алексей" orthoforum на weborto.net
Сб Сен 1 14:28:26 YEKST 2012


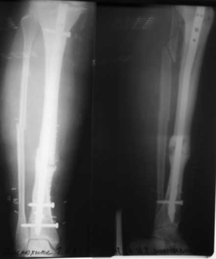
Большое спасибо за советы! Сегодня прооперировал больную. Все дистальные винты были сломаны, но они легко удалились, сломанные концы просто выбивал на противоположную сторону (использовал для этого обломок старого сверла 3,2)и через проколы вынимал.Попытался удалить гвоздь целиком с помощью спицы с оливой, но она не пропустила запирающую спицу до дистального обломка стержня. Помучился. Пришлось удалять по частям,проксимальный экстрактором,открыл зону ложного сустава, вынул промежуточный фрагмент иглодержателем, а вот дистальный обломок стержня уже получилось удалить с помощью спицы с оливой, но заклинивал её кистевой спицей. Ещё раз большое спасибо всем за участие!   
Смирнов Алексей
----------- следущая часть -----------
Вложение в формате HTML было извлечено…
URL: http://weborto.net:8080/pipermail/ortho/attachments/20120901/9feccfb5/attachment-0001.htm 
----------- следущая часть -----------
Вложение не в текстовом формате было извлечено…
Имя     : жПФП497.jpg
Тип     : image/jpg
Размер  : 22870 байтов
Описание: отсутствует
Url     : http://weborto.net:8080/pipermail/ortho/attachments/20120901/9feccfb5/attachment-0001.jpg 


Подробная информация о списке рассылки Ortho